Вт-вс: 10:00—21:00
whatsapp telegram vkontakte email

Повреждения почек — опасные последствия зимних травм. Упали и ударились спиной – сделайте УЗИ

Мягкая зимняя погода последних лет идеально подходит для зимних видов спорта и прогулок. Однако это также привело к увеличению травм из-за падений. Чаще всего страдают почки, несмотря на их защиту со стороны ребер и мышц. Своевременное выявление проблем, способных вызвать серьезные осложнения, возможно с помощью УЗИ почек.

Повреждение почки

image

Причины

В мирное время чаще всего встречаются закрытые повреждения почки, возникающие в результате криминальных инцидентов (драк) или падений с высоты. Закрытая травма почки может быть вызвана ушибом, падением, сдавлением и другими воздействиями, которые приводят к повышению давления жидкости (мочи и крови) в почке или к её сдавлению между поперечными отростками позвонков и ребрами. Открытые травмы, возникающие из-за колотых и колото-резаных ран, встречаются реже. В период военных действий значительно увеличивается количество огнестрельных ранений почек.

Патанатомия

Тяжесть закрытой травмы почки зависит от места удара, его направления и силы, а также от индивидуальных особенностей расположения почки относительно позвоночника и нижних ребер. Важны также степень развития мускулатуры, наполнение кишечника, количество паранефральной и подкожной жировой клетчатки, а также величина забрюшинного и внутрибрюшного давления. При наличии предшествующих заболеваний, таких как хронический пиелонефрит, аномалии развития, пионефроз и гидронефроз, целостность почки может нарушаться даже при незначительном травматическом воздействии. Повреждения могут варьироваться от мелких кровоизлияний до полного разрушения органа.

Особенно тяжелые травмы почек возникают при огнестрельных ранениях из-за обширного поражения, сложной конфигурации раневого канала и высокой вероятности повреждения других органов. Тяжесть ножевых ран зависит от направления раневого канала и расположения раны относительно почечных сосудов.

Классификация

В травматологии и клинической урологии различают закрытые (подкожные, тупые) и открытые (проникающие) травмы почки. Закрытые повреждения включают:

  • Ушиб — множественные кровоизлияния в почечной паренхиме, без макроскопического разрыва субкапсулярной гематомы.
  • Субкапсульный разрыв без повреждения чашечно-лоханочной системы — наличие крупной субкапсулярной гематомы.
  • Разрыв ткани и фиброзной капсулы почки с повреждением чашечно-лоханочной системы.
  • Размозжение.
  • Отрыв мочеточника, полное или частичное повреждение сосудистой ножки.
  • Контузия.

Открытые травмы почки делятся на:

  • Резаные раны.
  • Колотые раны.
  • Осколочные ранения.
  • Пулевые ранения и другие.

При постановке диагноза уточняют зону повреждения почки:

  • Повреждение сосудистой ножки.
  • Повреждение тела.
  • Повреждение нижнего сегмента.
  • Повреждение верхнего сегмента.

Также указывают характер травмы (сочетанная или изолированная) и наличие осложнений (осложненная или неосложненная).

Симптомы повреждения почки

Ведущими симптомами закрытой травмы почки являются боль и отек в поясничной области, а также микро- или макрогематурия. Боли могут быть острыми, тупыми или коликообразными, иногда иррадиируют в паховую область. При тяжелых повреждениях наблюдаются вздутие живота, повышение температуры, тошнота, рвота и симптомы раздражения брюшины, что может имитировать тупую травму живота. Также могут проявляться дизурия, боли внизу живота и признаки внутреннего кровотечения.

Существует три степени тяжести закрытого повреждения почки. При легкой степени (ушибе) наблюдается незначительная кратковременная гематурия, умеренный болевой синдром и удовлетворительное общее состояние пациента. Признаки раздражения брюшины отсутствуют, околопочечная гематома не выявляется. При средней степени тяжести боли умеренные, с иррадиацией в половые органы, паховую область и нижнюю часть живота. Артериальное давление снижено, пульс учащен, под кожей в поясничной области видна гематома. Часто наблюдается дизурия, в отдельных случаях — анурия. Урогематома может вызывать симптомы раздражения брюшины. При тяжелых повреждениях развивается шок, боли становятся сильными, макрогематурия — профузной и длительной, отмечаются нарастающие признаки внутреннего кровотечения.

Симптомы открытого повреждения почки во многом совпадают с признаками закрытой травмы. Наблюдаются боль и гематурия, часто присутствует припухлость вокруг места повреждения. В области поясницы может быть огнестрельная, колотая или резаная рана. Наиболее достоверным признаком открытой травмы почки является истечение мочи из раневого канала, хотя этот симптом редко бывает явным в первые часы. Для выявления незначительных примесей мочи в кровянистом раневом отделяемом используют реактив Несслера.

Боль в области поясницы вызывает защитное напряжение мышц передней брюшной стенки. Раннее появление и выраженность этого симптома могут указывать на одновременное повреждение органов брюшной полости. Гематурия при открытых травмах почки возникает практически сразу, но ее выраженность не всегда соответствует тяжести повреждения. Встречаются как небольшие надрывы с профузной гематурией, так и тяжелые повреждения с незначительным количеством крови в моче.

Осложнения

При открытых повреждениях, чем ближе рана к почечной ножке, тем выше риск повреждения крупных сосудов и больше область инфаркта почки с возможным нагноением ткани. Повреждение мочеточника и чашечно-лоханочной системы без операции приводит к мочевой инфильтрации и флегмоне забрюшинного пространства. Если также повреждена брюшная полость, может развиться перитонит.

Диагностика

Диагноз устанавливает врач-уролог на основе клинических признаков, анализа мочи и результатов МРТ, КТ, УЗИ, внутривенной урографии, нефросцинтиграфии и почечной ангиографии. Для оценки тяжести кровопотери контролируют уровень гемоглобина и гематокрита. При подозрении на сочетанную травму назначаются консультации специалистов: травматолога, абдоминального хирурга и других.

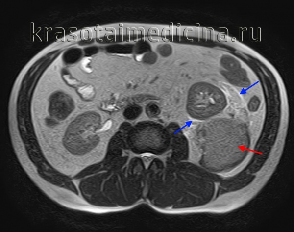
МРТ ОБП: повреждение левой почки, забрюшинная гематома (красная стрелка), отек перинефральной клетчатки (синяя стрелка).

image

Лечение повреждения почки

При закрытых травмах, не вызывающих гемодинамических нарушений, обычно применяются консервативные методы лечения. При открытых повреждениях консервативная терапия возможна только при изолированных ранах от холодного оружия, если состояние пациента удовлетворительное, а гематурия незначительна и кратковременна. В таких случаях назначают антибиотики, противовоспалительные и кровоостанавливающие препараты.

Абсолютные показания к хирургическому лечению при открытых и закрытых травмах почки включают нестабильную гемодинамику и пульсирующую, нарастающую гематому. Относительные показания к операции — это тяжелые повреждения, экстравазация больших объемов мочи, наличие крупного нежизнеспособного участка почки, сочетанные травмы, предшествующие заболевания почки и отсутствие эффекта от консервативной терапии. В зависимости от тяжести и характера повреждения выполняются нефрэктомия, резекция почки или ушивание разрыва. В некоторых случаях возможно малоинвазивное вмешательство — эмболизация поврежденного сосуда через катетер, введенный в бедренную артерию.

Литература:

  1. З.С. Смирнова, Л.М. Борисова, М.П. Киселева и др. Противоопухолевая эффективность прототипа лекарственной формы соединения ЛХС-1208 для внутривенного введения // Российский биотерапевтический журнал. 2012. № 2. С. 49.
  2. Мирский, «Хирургия от древности до современности. Очерки истории.» (Москва, Наука, 2000, 798 с.).
  3. Wunderlich, «Geschichte der Medicin» (Штуттгардт, 1958).
  4. https://medcentr-diana-spb.ru/urologiya/povrezhdeniya-pochek-opasnyie-posledstviya-zimnih-travm-upali-i-udarilis-spinoy-sdelayte-uzi/.
  5. https://medintercom.ru/articles/ushib-pochki.
  6. https://www.KrasotaiMedicina.ru/diseases/traumatology/kidney-injury.
  7. Guardia, «La Médecine à travers les âges».
Ссылка на основную публикацию
Похожее