Прежде всего отметим, что термин «вывих головки локтевой кости», хотя и широко используется, не совсем точен. На самом деле происходит смещение лучевой кости вместе с кистью относительно фиксированной локтевой кости в локтевом и проксимальном лучелоктевом суставах. Иногда с вывихами в дистальном лучелоктевом суставе возникают ограниченные ротации локтевой кости, что подтверждается клиническими проявлениями и необычным положением локтевой кости и ее шиловидного отростка. Крайняя степень ротационного смещения в дистальном лучелоктевом суставе была описана Н. Graham и соавт. в 1985 году.
Смещения головки локтевой кости часто сопровождаются повреждениями в области кистевого сустава, особенно при переломах лучевой кости в типичном месте. Реже это наблюдается при вывихах костей запястья. Дистальное смещение головки локтевой кости часто отмечается при переломах головки лучевой кости или после ее резекции.
Изолированные вывихи головки локтевой кости встречаются в два раза реже, чем вывихи пястных костей. В наших наблюдениях было 15 таких случаев.
Для возникновения изолированного смещения головки локтевой кости необходимы специфические механизмы, приводящие к повреждению ладонных и тыльных лучелоктевых связок, локтевой коллатеральной связки запястья, локтезапястных связок и суставного диска. Это происходит под действием торсионных сил и предельных ротаций предплечья без значительных продольных нагрузок.
Переломы лучевой кости и вывихи костей запястья обычно происходят при разгибании кисти и пронации предплечья. Это подтверждает, что изолированные ладонные смещения головки локтевой кости возникают при насильственной супинации, а тыльные — при насильственной пронации. Существует мнение, что тыльные вывихи встречаются чаще, чем ладонные, но это связано с недоразумением, так как к тыльным вывихам относят и подвывихи. Если это учесть, то ладонные вывихи встречаются в 2-3 раза чаще.
При сопутствующих смещениях дистального конца локтевой кости они обычно происходят в тыльную сторону. При переломах лучевой кости головка локтевой кости смещается не только к тылу, но и дистально из-за укорочения лучевой кости. При вывихах костей запястья подвывихи головки локтевой кости встречаются редко и почти исключительно к тылу.
Распознавание свежих подвывихов головки может быть затруднительным из-за других повреждений, тогда как симптомы изолированных вывихов весьма очевидны. При ладонном вывихе сужен лучелоктевой размер кистевого сустава, имеется западение на тыле, предплечье установлено в супинации, ротационные движения ограничены и болезненны. При тыльных вывихах головка выступает к тылу, пружинит, нет сужения лучелоктевого размера, предплечье немного пронировано, ротационные движения также ограничены и болезненны. Однако половину этих повреждений распознают с опозданием.
Закрытые вправления изолированных вывихов головки локтевой кости возможны при давности не более 10-14 дней. Даже в первые дни после травмы это может быть сложно, особенно при ладонных вывихах. Начинают с растяжения кистевого сустава и умеренного отклонения кисти. Перед вправлением полезно «раскачивать» предплечье с переменной ротацией. Затем хирург прижимает большие пальцы к головке, удерживает ее и аккуратно «отдавливает» в тыльно-локтевом направлении во время форсированной пронации предплечья. Щелчок при исправлении деформации свидетельствует о успешном вправлении. Тыльные вывихи устраняются легче с помощью завершающей супинации предплечья, но труднее удерживаются на месте. Важно сохранить достигнутую репозицию и предотвратить рецидив. Поэтому после вправления накладывают гипсовую повязку на 6 недель, включая локтевой сустав. Более надежно стабилизировать дистальный лучелоктевой сустав можно с помощью чрескожного внесуставного проведения спиц.
Подвывихи головки локтевой кости, сопутствующие переломам лучевой кости или вывихам костей запястья, часто устраняются во время вправления основных смещений.
При неубывающих функциональных нарушениях выбор метода лечения зависит от давности и характера дезорганизации лучелоктевого сустава.
Свежие вывихи, которые не удалось вправить, подлежат открытому устранению. Если это затруднено оторванным суставным диском, его необходимо удалить.
Вероятно, имеет смысл открыто вправлять застарелые вывихи давностью не более 1,5-2 месяцев. Позже вправление становится трудным и травматичным, а шансы на благоприятный исход уменьшаются.
При невправленных застарелых подвывихах в лучелоктевом суставе функция может улучшаться со временем после нескольких курсов консервативного лечения. Однако стойкий болевой синдром, нестабильность в суставе или резкое ограничение ротации служат показанием для вмешательства. Причиной болей при невправленных подвывихах может быть разорванный или дегенерированный суставной диск, в таком случае операция ограничивается его удалением.
После повреждений лучелоктевого сустава, включая переломы лучевой кости, могут остаться симптомы растяжения и нестабильности, включая рецидивирующие подвывихи головки локтевой кости. В таких случаях на первый план выходят нестабильность и неустойчивость в суставе с болезненными защелкиваниями при пронации руки. Если консервативное лечение в течение 4-5 месяцев не приносит улучшений, показано оперативное лечение для восстановления стабильности сустава.
Многочисленные реконструктивные операции, предложенные за последние 50 лет, сейчас применяются редко из-за ненадежности и непредсказуемости исходов. Об эффективности тенодезирующих операций с перемещением сухожилия локтевого сгибателя судить еще рано.
Более практична операция по укреплению тыльной лучелоктевой связки. Через тыльный доступ с рассечением капсулы и ослабленной связки обнажают сустав, удаляют грануляции и рубцы. Если суставной диск разорван, его также удаляют. В положении пронации кисти головку локтевой кости прижимают к сигмовидной впадине лучевой кости и стабилизируют двумя спицами Киршнера. Затем связку и капсулу сшивают в виде дупликатуры. Иммобилизацию проводят в течение 6 недель.
При стойких застарелых вывихах и подвывихах головки локтевой кости с выраженным ограничением ротации вмешательства на мягких тканях бесполезны. В таких случаях целесообразна резекция дистального конца локтевой кости, что освобождает сустав от скованности. Используется тыльно-локтевой доступ, избегая повреждения локтевого нерва. Длина резецируемого конца не должна превышать 2-2,5 см. Заметных различий в исходах экстрапериостальных и субпериостальных резекций нет, но при последних лучше идет подрастание регенерата. При резекции головки, находящейся в ладонном смещении, необходимо бережно выделять ее, чтобы не травмировать локтевой нерв. Для стабилизации свободного конца локтевой кости производят тенодез частью сухожилия локтевого разгибателя кисти.
Резекция дистального конца локтевой кости, считавшаяся универсальной при различных поражениях, имеет недостатки, связанные с утратой поддержки локтевой половины кистевого сустава. Поэтому, когда важна стабильность кистевого сустава, более полезны восстановительные операции на костной основе, такие как интенционные резекции локтевой кости и гемирезекции головки локтевой кости. Однако эти операции сложны и требуют осторожности. Укорочения локтевой кости можно применять только при отсутствии заметных изменений суставных поверхностей.
Признаки нестабильности дистального лучелоктевого сустава
а) Терминология:
• Нестабильность дистального лучелоктевого сустава проявляется подвижностью локтевой кости.
б) Визуализация нестабильности дистального лучелоктевого сустава:
• Для точного диагноза важно правильное положение.
• Прямые симптомы:
- Подвывих или вывих головки локтевой кости.
- С тыльной стороны: дистальный лучелоктевой сустав расширен на заднепереднем изображении.
- С ладонной стороны: увеличение наложения локтевой кости на заднепереднем изображении.
• Непрямые симптомы:
- Многооскольчатый или неправильно сросшийся перелом лучевой кости в типичном месте.
- Тыльное угловое отклонение лучевой кости (>20°).
- Значительное укорочение лучевой кости (>5 мм).
- Перелом шиловидного отростка локтевой кости без смещения.
• Сравнение с противоположной стороной может быть полезным.
• КТ: лучший метод для оценки целостности дистального лучелоктевого сустава.
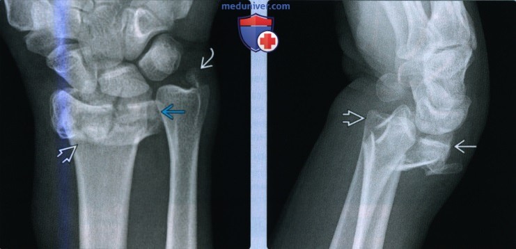
(Слева) На заднепередней рентгенограмме выявляется оскольчатый перелом лучевой кости в типичном месте с укорочением более 5 мм, что вызывает натяжение треугольного фиброзно-хрящевого комплекса. Отрывной перелом основания шиловидного отростка локтевой кости способствует нестабильности дистального лучелоктевого сустава из-за разрыва треугольного фиброзно-хрящевого локтевого якоря.
(Справа) На боковой рентгенограмме у этого пациента определяется тыльное угловое отклонение дистального эпиметафиза лучевой кости более 20°. Обратите внимание на ладонный вывих головки локтевой кости. Восстановление анатомического положения дистального эпиметафиза лучевой кости важно для восстановления целостности дистального лучелоктевого сустава. (Слева) На рисунке показаны повреждения, способствующие нестабильности дистального лучелоктевого сустава, включая сложные переломы дистального эпиметафиза лучевой и локтевой кости. Отломки лучевой кости вдавлены и отклонены под углом. Треугольный фиброзно-хрящевой комплекс разрывается при отрыве шиловидного отростка с фиброзно-хрящевым комплексом от локтевой кости и разрыве локтезапястных связок.
(Справа) На заднепередней рентгенограмме видно стабилизацию перелома спицами Киршнера через переломы лучевой кости в типичном месте и шиловидного отростка локтевой кости. Для иммобилизации наложена гипсовая лонгета.
в) Клинические особенности:
• Острая нестабильность:
- Перелом: деформация и боль.
- Перелом отсутствует: боль и припухлость по медиальному краю запястья.
• Хроническая нестабильность:
- Болезненный, пальпируемый хруст; слабость хвата; уменьшение объема движений.
г) Диагностическая памятка:
• Подтверждение правильной рентгенологической позиции.
• В случае сомнений используют многоплоскостное изображение (КТ, МРТ) для визуализации дистального лучелоктевого сустава.
• Оценка степени и направления подвывиха/вывиха:
- Сопутствующее костное повреждение.
- Сопутствующее повреждение мягких тканей.
- Сопоставление отломков дистального эпиметафиза лучевой кости.
- Перелом шиловидного отростка локтевой кости.
• Адекватность репозиции перелома лучевой кости в типичном месте.
Что такое Перелом лучевой кости в нижней трети и вывих в дистальном луче-локтевом суставе (повреждение Галеацци)
Повреждение Галеацци характеризуется переломом лучевой кости в нижней трети, разрывом дистального лучелоктевого сустава и вывихом в этом суставе. На самом деле локтевая кость лишь смещается в сторону, а отломок лучевой кости вывихивается вместе с запястьем и кистью. У детей перелом лучевой кости часто сопровождается эпифизеолизом локтевой кости.
Патогенез (что происходит?) во время Перелома лучевой кости в нижней трети и вывиха в дистальном луче-локтевом суставе (повреждение Галеацци)
Перелом по типу Галеацци может быть прямым (удар по лучевой стороне предплечья в нижней трети) или непрямым (падение с упором на вытянутую руку). При этом происходит перелом лучевой кости на границе средней и нижней третей с смещением дистального отломка и разрывом связок в дистальном лучелоктевом суставе. Иногда отрывается шиловидный отросток локтевой кости. Важно помнить, что при повреждении Галеацци смещается дистальный отдел лучевой кости вместе с кистью, в то время как положение локтевой кости остается неизменным. Это следует учитывать при репозиции фрагментов.
Симптомы Перелома лучевой кости в нижней трети и вывиха в дистальном луче-локтевом суставе (повреждение Галеацци)
Клинически повреждение проявляется значительной припухлостью и деформацией в нижней трети предплечья. Лучезапястный сустав увеличен, кисть отклонена в лучевую сторону, а головка локтевой кости выступает с локтевой стороны. При пальпации отмечается резкая болезненность в нижней трети лучевой кости и в области дистального лучелоктевого сустава. Все движения кисти и ротационные движения предплечья резко ограничены.
Диагностика Перелома лучевой кости в нижней трети и вывиха в дистальном луче-локтевом суставе (повреждение Галеацци)
Уточняют диагноз по рентгенограммам нижней половины предплечья и лучезапястного сустава в двух проекциях. Важно тщательно оценить степень конгруэнтности суставных повреждений лучевой и локтевой костей.
Лечение Перелома лучевой кости в нижней трети и вывиха в дистальном луче-локтевом суставе (повреждение Галеацци)
Производят закрытую репозицию, предпочтительно под проводниковой анестезией в подмышечной области. При местном введении анестетика необходимо обезболить не только место перелома, но и лучезапястный сустав. Тягу осуществляют за кисть при согнутом под прямым углом предплечье, находящемся между пронацией и супинацией. Исправляют смещение отломков лучевой кости по длине и в сторону, устраняя угловое смещение: отклоняют кисть в локтевую сторону, одновременно надавливая на головку локтевой кости. Вывих в суставе устраняется легко, однако фрагменты с трудом удерживаются в гипсовой повязке. Поэтому после вправления целесообразно провести чрескожную фиксацию двумя спицами, введя их через головку и шейку локтевой кости в лучевую. Накладывают разрезную гипсовую повязку от середины плеча до головок пястных костей, после чего выполняют контрольную рентгенограмму. Срок иммобилизации составляет 8-10 недель.
При неудаче вправления или вторичном смещении отломков в гипсовой повязке требуется оперативное лечение — открытое вправление и остеосинтез отломков лучевой кости. Разрез делают в области перелома по тыльнолучевой поверхности, отломки репонируют и фиксируют компрессирующей пластинкой. Вмешательства на лучелоктевом суставе не требуется. Гипсовая иммобилизация проводится так же, как при консервативном лечении, срок фиксации — 6-8 недель. Трудоспособность при повреждении Галеацци восстанавливается через 3-4 месяца. При компрессионно-дистракционном остеосинтезе диафиксирующую спицу проводят в проксимальном метафизе, а перекрещивающуюся спицу лучше вводить через локтевую кость, чтобы избежать повреждения лучевого нерва. Стабильность проксимального фрагмента лучевой кости достигается проведением дополнительной спицы дистальнее. Перед проведением перекрестных спиц через дистальный метафиз лучевой кости необходимо устранить ротационное смещение.
В случаях застарелых, несросшихся и неправильно сросшихся повреждений Галеацци, значительно нарушающих функцию предплечья, требуется оперативное вмешательство для восстановления длины лучевой кости и правильных взаимоотношений в дистальном лучелоктевом суставе. Используется метод дистракции. Аппарат накладывают в положении супинации предплечья за пястные кости и среднюю треть костей предплечья. Если отломки лучевой кости срослись неправильно, необходима остеотомия. При последующей дистракции достигается восстановление длины лучевой кости, репозиция отломков и конгруэнтность суставных поверхностей в лучезапястном суставе. Во время лечения важно уделять внимание занятиям ЛФК для пальцев кисти и локтевого сустава.
