Вывих предплечья — это смещение суставных поверхностей локтевой, лучевой и плечевой костей. Это повреждение вызывает резкую боль, деформацию и значительный отек сустава, что делает движения невозможными. Диагноз ставится на основе осмотра и рентгенологических данных. При необходимости уточнения характера травмы могут быть проведены МРТ или КТ. Лечение вывихов включает вправление и фиксацию сустава гипсовой повязкой на 2-3 недели. После снятия гипса назначается восстановительная терапия: физиолечение, массаж и лечебная физкультура.
Общие сведения
Вывих предплечья занимает второе место по частоте, составляя 18–27% от общего числа вывихов. У детей он встречается чаще и часто сопровождается переломами костей плеча и предплечья. Вывих может быть неполным (суставные поверхности частично соприкасаются) или полным (соприкосновение суставных поверхностей отсутствует). В большинстве случаев (более 90%) вывихиваются обе кости предплечья. Изолированные вывихи одной из костей наблюдаются редко.
Патанатомия
Локтевой сустав формируется суставными поверхностями плечевой, лучевой и локтевой костей. Он окружен тонкой суставной капсулой, которая по бокам укреплена двумя прочными связками.
Классификация
В травматологии и ортопедии выделяют следующие виды вывихов обеих костей предплечья:
- задние;
- передние;
- кнутри;
- кнаружи;
- расходящиеся.
Также возможны изолированные вывихи лучевой кости (кзади, кпереди, кнаружи) и изолированные вывихи локтевой кости.
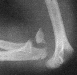
Виды вывиха предплечья
Задний вывих
Задний вывих предплечья возникает из-за непрямой травмы, например, при падении на вытянутую руку с переразогнутым локтем. В этом случае капсула локтевого сустава разрывается, а нижняя часть плеча смещается вперед. Задний вывих может сопровождаться переломом мыщелков плечевой кости у взрослых или переломом надмыщелков плеча у детей.
Пациент с задним вывихом жалуется на резкую боль в области повреждения. Рука находится в вынужденном положении легкого сгибания. Сустав деформирован и увеличен в объеме, активные движения невозможны. При попытке пассивных движений ощущается пружинящее сопротивление. При осмотре спереди предплечье выглядит укороченным, а локтевой отросток смещен вверх и назад. В области локтевого сгиба можно прощупать нижнюю часть плечевой кости.
Передний вывих
Передний вывих предплечья встречается редко. Он возникает из-за прямого удара в область локтевого сустава при согнутой руке. Такие вывихи могут сопровождаться переломом локтевого отростка. Травма вызывает резкую боль. При осмотре наблюдается удлинение предплечья с пораженной стороны и западение в области локтевого отростка. Активные движения в локтевом суставе невозможны, а при попытке пассивных движений возникает пружинящее сопротивление. Ограничение функции сустава меньше, чем при задних вывихах предплечья.
Боковые вывихи
Наружный вывих предплечья наблюдается редко и может сочетаться с повреждением срединного или локтевого нерва, что приводит к потере чувствительности в зоне иннервации. Как и другие вывихи, он вызывает резкую боль, затрудняет активные движения в суставе и вызывает пружинящее сопротивление при попытке пассивных движений.
Наружный вывих предплечья возникает из-за прямого удара на локтевой сустав с внутренней стороны. Полный вывих встречается редко. Он сопровождается деформацией, отеком и смещением оси сустава наружу. Вывих предплечья внутрь также возникает от прямого удара, но в этом случае удар направлен снаружи внутрь. Пациенты жалуются на резкую боль, отек и деформацию локтевого сустава, а ось сустава смещена внутрь.
Лечение вывиха предплечья
Вправление предплечья проводят под общим или местным обезболиванием. Руку отводят и слегка разгибают в локтевом суставе. Хирург охватывает плечо пострадавшего в нижней трети двумя руками, располагая большие пальцы на выстоящем локтевом отростке.
Помощник удерживает кисть. Производят тракцию по оси конечности, а хирург большими пальцами сдвигает кпереди локтевой отросток и головку лучевой кости, одновременно оттягивая плечо кзади для создания точки опоры. Если предплечье вправлено, появляются свободные пассивные движения.
Методика вправления заднего вывиха предплечья на согнутом локтевом суставе до угла 90° считается неправильной, так как может привести к перелому венечного отростка.
Конечность фиксируют задней гипсовой лонгетой от верхней трети плеча до головок пястных костей. Обязателен рентгенологический контроль. Срок иммобилизации составляет 5-10 дней. Затем назначают реабилитационное лечение: ЛФК, физиотерапию, водолечение. На ранних стадиях не следует применять массаж локтевого сустава, механотерапию и форсированные пассивные движения, так как они могут усилить оссификацию периартикулярных тканей.
Изолированные вывихи и подвывихи у детей
Такие вывихи встречаются редко, за исключением подвывиха головки лучевой кости у детей до 5 лет. Чаще всего страдают дети в возрасте от 1 до 3 лет. Повреждение возникает из-за резкого дерганья, потягивания за руку или попытки удержать ребенка во время падения. Ребенок испытывает умеренную боль в области сустава. Рука вытянута вдоль туловища, сгибание в суставе вызывает резкую боль. При пальпации отмечается болезненность локтевого и лучезапястного суставов, а также предплечья.
Рентгенологические исследования при этой травме малоинформативны и проводятся только в сомнительных случаях. Для вправления головки врач плавно тянет за предплечье, сгибает руку в локтевом суставе и поворачивает ладонью вниз, одновременно надавливая на головку лучевой кости. В момент вправления можно услышать характерный щелчок. Вправление подвывиха головки лучевой кости у детей происходит легко, мягко и практически безболезненно. Анестезия не требуется, так как она может вызвать больше неприятных ощущений, чем само вправление.
Код по МКБ-10
S53. Вывих, растяжение и повреждение капсульно-связочного аппарата локтевого сустава.
Эпидемиология вывиха предплечья
Вывихи предплечья составляют 18-27% всех вывихов.
Симптомы вывиха предплечья
Пострадавшего беспокоят боль и нарушение функций в локтевом суставе, возникшие после травмы.
Классификация вывиха предплечья
В локтевом суставе возможен одновременный вывих обеих костей предплечья, а также изолированный вывих лучевой или локтевой кости. В зависимости от этого выделяют следующие виды вывихов:
- Вывих обеих костей предплечья: кзади, кпереди, кнаружи, кнутри и расходящийся.
- Вывих лучевой кости: кпереди, кзади, кнаружи.
- Вывих локтевой кости.
Показания к госпитализации
Наиболее часто встречаются вывих обеих костей предплечья кзади и подвывих головки лучевой кости кпереди у детей. Эти случаи можно лечить амбулаторно. Остальные виды вывихов встречаются реже и требуют общего обезболивания и других сложностей, поэтому пациентов следует направлять в дежурный стационар для получения помощи.
Диагностика вывиха предплечья
В анамнезе — соответствующая травма. Сустав отёчен и деформирован. На задней поверхности, на расстоянии от плеча, под кожей виден локтевой отросток. Нарушены треугольник и линия Гютера. Предплечье укорочено. Активные и пассивные движения в локтевом суставе отсутствуют, их попытка вызывает острую боль. Отмечается положительный симптом пружинящего сопротивления.
На рентгенограммах в двух проекциях выявлено разобщение сочленяющихся поверхностей плеча и предплечья.
Для уточнения диагноза необходимо проверить двигательную функцию и кожную чувствительность в зоне иннервации локтевого, лучевого и срединного нервов.
Приблизительный срок нетрудоспособности
Трудоспособность восстанавливается в течение 6-8 недель.
Лечение вывиха локтя
Обращение за медицинской помощью — важный этап, который нельзя игнорировать. Вывих требует вправления, и эта травма может сопровождаться другими повреждениями, такими как перелом или защемление локтевого нерва.
Лечение назначается поэтапно:
- вправление смещенного сустава;
- применение препаратов для облегчения боли, устранения отека и остановки воспаления;
- меры по восстановлению поврежденного сустава и его функциональности;
- профилактика контрактур и других осложнений.
Консервативная терапия обычно включает негормональные противовоспалительные средства и хондропротекторы для поддержания и восстановления хряща. Кортикостероиды могут назначаться для подавления воспалительного процесса, но иногда можно обойтись и без них. Для обезболивания подходят как анальгетики, так и нестероидные противовоспалительные средства.
Что делать при вывихе локтя?
Даже если вы уверены, что получили вывих локтя, не стоит пытаться вправить его самостоятельно. Неправильные действия могут усугубить травму, повредив сосуды и нервы. Лучше обратиться к медикам, которые имеют опыт в исправлении таких повреждений. Также важно убедиться, что вывих не сопровождается переломом.
Если у вас вывих локтя, вы можете предпринять следующие шаги:
- Устранить боль (например, принять таблетку Анальгина или Ортофена);
- Обездвижить сустав с помощью мягкой иммобилизирующей повязки (косынки);
- Приложить холод к поврежденному месту;
- Обратиться в травмпункт;
- Не употреблять пищу или напитки до визита к травматологу, так как для вправления может потребоваться общая анестезия.
Как вправить вывих локтя?
Самостоятельное вправление вывиха локтя запрещено!
Вправление свежего вывиха выполняет травматолог в ходе первой медицинской помощи. Тип вправления определяется врачом при первичной диагностике.
Свежее травматическое смещение без перелома вправляют под общей анестезией. Это необходимо для обезболивания и полного расслабления мышц. Процедуру проводят врач и его ассистент. Локтевой сустав медленно выпрямляют: врач поддерживает нижний сегмент плечевой кости и смещает верхнюю часть локтевого отростка в нужную сторону. Затем накладывают фиксирующую повязку, которая удерживает локоть в течение примерно полутора недель.
Несвежий вывих, возникший не более двух недель назад, также может быть вправлен, но врач должен действовать особенно осторожно. Неправильное вправление может привести к перелому шейки плечевой кости.
Если вывих устаревший, его коррекция невозможна, и требуется оперативное лечение.
Задний вывих вправляют под анестезией. Локтевой сустав сгибают под острым углом и накладывают заднюю гипсовую повязку, которую пациент носит в течение недели. Затем назначают курс лечебной физкультуры и физиотерапевтические процедуры.
При вправлении переднего вывиха предплечье разгибают, приводя его к тупому углу, и накладывают заднюю гипсовую повязку на полторы недели с супинированным предплечьем.
В процессе восстановления локтевого сустава важно помнить, что интенсивные воздействия на поврежденную область могут усугубить контрактуру и вызвать болезненные изменения в тканях. К таким нежелательным воздействиям относятся:
- интенсивный массаж;
- насильственные попытки устранения тугоподвижности;
- высокотемпературные и другие резкие процедуры.
Гипс при вывихе локтя
После вправления вывиха локтя пациенту проводят дополнительное рентгенологическое исследование для подтверждения правильной фиксации сустава. Затем выполняется иммобилизация.
Гипс накладывается на поврежденный участок на 25–30 дней. У пожилых или ослабленных пациентов гипсовую повязку могут снять раньше по усмотрению врача, так как длительная иммобилизация увеличивает риск атрофии мышц.
Гипс не всегда необходим: иногда рекомендуются повязки или бандажи, такие как «косынки» или Дезо.
Для молодых пациентов фиксация выполняется более жестко, включая наложение гипсовой лонгеты. Обездвиживание обычно длится около 4 недель. Болевые ощущения при жесткой фиксации обычно исчезают в течение нескольких часов после вправления.
Лекарства, которые может назначить врач
В реабилитационный период после вывиха локтя пациентам не требуется стационарное лечение. Врач назначает индивидуальный комплекс лечебной физкультуры, а также анальгетики и противовоспалительные средства.
| Препарат | Описание |
|---|---|
| Анальгин (метамизол натрия) | Обезболивающее и противовоспалительное средство, производное пиразолона. Эффективно устраняет боль, но его применение ограничено 2-3 днями. Дозировка: 250-500 мг 1-2 раза в сутки после еды, запивая водой. Не рекомендуется для детей младше 12 лет. |
| Диклофенак | Нестероидное противовоспалительное средство. Принимается после еды по 25-50 мг трижды в сутки, в некоторых случаях допускается увеличение дозы. Не назначают при пептической язве, аллергии, беременности и лактации. Возможные побочные эффекты: тошнота, боли в животе. |
| ДипХелп | Наружный гель с Ибупрофеном, бадягой и эфирными маслами. Наносится на пораженный участок до трех раз в сутки, втирая. Курс лечения — 7-10 дней. Перед первым применением следует проверить на аллергическую реакцию. |
| Траумель С | Безопасный и эффективный препарат в виде мази, таблеток и инъекций. При вывихе локтя чаще всего назначают мазь, обладающую противовоспалительным, обезболивающим и репаративным действием. Мазь наносят тонким слоем на область локтя 3-5 раз в сутки (можно под повязку). Таблетки принимают по 1 шт. трижды в сутки под язык. Инъекции вводят один раз в три дня по одной ампуле в течение 14-28 дней. Аллергические реакции встречаются редко. |
| Тромбоцид | Наружный препарат, улучшающий капиллярное кровообращение, обладающий противовоспалительным и обезболивающим действием. Гель наносят на область локтя и прилегающие зоны трижды в сутки. Возможные побочные эффекты: гиперчувствительность, сухость кожи. |
| Репарил гель | Наружное средство на основе эсцина и диэтиламина, эффективно снимающее болевые ощущения при вывихе локтя. Гель можно втирать в кожу несколько раз в сутки. Аллергические реакции встречаются редко. |
Хирургическое лечение
Иногда для исправления вывиха локтя врачу необходимо обратиться к хирургу. Во время операции смещенные кости возвращаются в анатомическое положение и фиксируются с помощью спиц, сухожильной подшивки или пластики. Также укрепляется капсула сустава, и удаляются ткани, оказавшиеся между суставными поверхностями.
Хирургическое лечение особенно рекомендуется пациентам с повторными вывихами локтя, когда необходимо восстановить суставную устойчивость.
Многие проблемы с суставом решаются с помощью артроскопии — малоинвазивной методики. Эта процедура позволяет осмотреть сустав изнутри и выявить нарушения, которые не видны на рентгеновских снимках.
Еще одной хирургической процедурой при вывихе локтя является артропластика, которая направлена на исправление дефектов хрящей, покрывающих локтевой сустав.
Открытая репозиция или остеосинтез выполняются при сочетанных травмах, когда требуется фиксация с помощью спиц и других приспособлений.
Артроскопию проводят под местным обезболиванием, а остеосинтез — под общим наркозом. Период восстановления после операций варьируется в зависимости от сложности травмы и объема вмешательства.
Для пациентов, перенесших открытую репозицию, реабилитация усложняется и проводится в клинических условиях под медицинским наблюдением.
Реабилитация и восстановление после вывиха локтя
Реабилитация после вывиха локтя состоит из двух этапов:
- этап полной иммобилизации;
- этап относительной иммобилизации.
Продолжительность каждого этапа определяется индивидуально, в зависимости от лечения и характера повреждения.
При неосложненном вывихе, леченном консервативно, первый этап полной иммобилизации может длиться до четырех суток, а второй — около двух недель.
Рассмотрим каждый из этапов подробнее.
- На первом этапе занятия ЛФК начинаются со вторых суток после наложения гипса. Выполняются общие, идеомоторные и дыхательные упражнения, задействуются свободные суставы, а также периодически напрягаются и расслабляются мышцы плеча и предплечья. Из-за повышенной уязвимости плечевых мышц рекомендуется выполнять специальные упражнения. Мышцы ритмически напрягаются при сгибании и разгибании пальцев пораженной конечности. Противопоказаны упражнения, вызывающие боль, а также подъемы и ношение тяжелых предметов.
- Второй этап длится около двух недель. Его цель — восстановление подвижности сустава и стабилизация мышечной работоспособности. Пациенту назначаются физиотерапевтические процедуры и корректируется питание. Важно обеспечить сбалансированный рацион с достаточным количеством магния и кальция.
Массаж в большинстве случаев не рекомендуется.
Как разрабатывать локоть после вывиха?
На этапе лечения и восстановления после вывиха локтя важно избегать физической нагрузки и движений, вызывающих боль в суставе. Не следует выполнять вис или упор на локоть, так как это может усугубить отечность и привести к деформации сустава.
Примерно на четвертый или пятый день после вправления и иммобилизации сустава можно начинать специальные упражнения для восстановления функциональности поврежденной руки. Длительность курса зависит от сложности травмы: в тяжелых случаях врач может рекомендовать отложить занятия ЛФК на несколько недель.
Упражнения для разработки локтя помогают предотвратить контрактуры и поддерживать состояние мышечной системы конечности. В начале следует выполнять легкие движения без чрезмерной нагрузки, постепенно усложняя их после консультации с врачом.
Гимнастику можно проводить дома без специальных условий. Курс ЛФК обычно длится несколько месяцев до полного восстановления функции сустава.
Простые и доступные упражнения для самостоятельной разработки локтя:
- Катание скалки по столу рукой вперед и назад (можно использовать игрушечную машинку);
- Упражнения с теннисным мячом, например, набивание его в течение 15 минут трижды в день.
Приблизительно через месяц после снятия гипса пациенту разрешают плавать, выполняя сгибательные, разгибательные и вращательные движения конечностью.
Примерные упражнения при вывихе локтя
Комплексные занятия проводятся на втором этапе относительной иммобилизации и включают следующие упражнения:
- Пациент садится на стул, кладет руки на стол и сгибает и разгибает пальцы не менее десяти раз.
- В сидячем положении под предплечья подводят скользящую поверхность. Сгибают и разгибают руку в локте, скользя конечностью от себя вперед, не менее пяти раз.
- Пациент сидит на стуле, руки — на столе. Предплечье поднимается вертикально вверх, а кисть здоровой руки поддерживает предплечье травмированной. Выполняется сгибание и разгибание предплечья до десяти раз.
- Пациент кладет руки на стол и выполняет супинацию и пронацию предплечья, стараясь коснуться поверхности стола ладонной и тыльной стороной кисти. Количество повторов — до 10 раз.
- Пациент попеременно надавливает каждым пальцем пораженной конечности на поверхность стола, удерживая нажатие несколько секунд.
- Выполняет вращения кистей в лучезапястном суставе влево и вправо с максимально комфортной амплитудой.
- Пациент садится поперек стула, укладывает плечо травмированной конечности на спинку (предплечье опущено вниз) и выполняет колебания по типу маятника, одновременно сгибая и разгибая локоть с небольшой амплитудой. Количество повторов — не менее 10.
- Пациент распрямляет предплечья и поворачивает их внутрь, повторяя не менее 10 раз.
- Руки на поверхности стола. Пациент сжимает кулаки, удерживает их несколько секунд, затем расслабляет мускулатуру. Количество повторов — 4.
- Разводит и сводит пальцы без сгибания и разгибания кисти.
- Укладывает пораженный локоть на стол, полностью разгибает предплечье и удерживает позицию несколько секунд. Повторяет до десяти раз.
Сколько времени занимает восстановление после вывиха локтя?
Полное восстановление функциональности руки после вывиха локтя занимает около 4-5 месяцев. Для ускорения процесса используется лечебная гимнастика, аналогичная реабилитации после переломов локтевого сустава.
Техника восстановления зависит от состояния мышц и степени вывиха. При спазме мускулатуры выполняются упражнения для её расслабления. Нельзя нагружать поврежденную конечность и поднимать тяжести, так как это может привести к повышению мышечного тонуса и развитию контрактуры.
В течение дня рекомендуется держать поврежденную руку в возвышенном положении для улучшения крово- и лимфотока, а также для уменьшения отечности. Массаж можно начинать только через 6-8 недель после вывиха.
Для комфортного восстановления лечебную гимнастику следует проводить 2-3 раза в день по 10-15 минут, постепенно увеличивая продолжительность до получаса.
Физиотерапевтическое лечение
Физиопроцедуры, назначаемые на этапе восстановления после вывиха локтя:
- неинтенсивные тепловые воздействия, электрофорез;
- грязелечение;
- парафинолечение;
- точечный массаж;
- озокерит;
- ультразвуковая терапия;
- интерференцтерапия.
Основная цель физиопроцедур — уменьшение болевых ощущений и отечности. Тепловые воздействия снижают скованность, облегчают контрактуры, улучшают кровообращение и лимфоток. Кроме того, физиолечение повышает эффективность других терапевтических мероприятий.
При сильном внутрисуставном кровоизлиянии физиотерапия противопоказана.
В современных ортопедических и терапевтических центрах применяются инновационные методы лечения вывиха локтя, такие как:
- аутоплазмотерапия для активации венозного и лимфатического оттока из поврежденной области;
- ударно-волновое, ультразвуковое и лазерное лечение для стимуляции регенерации и устранения местных нарушений;
- озонотерапия, ускоряющая восстановление чувствительности и улучшающая трофические процессы в тканях.
Методы медикаментозного электрофореза, низкочастотного магнитолечения, парафиновых и озокеритных аппликаций, а также миоэлектростимуляции способствуют быстрому и комфортному выздоровлению пациента.
