Вт-вс: 10:00—21:00
whatsapp telegram vkontakte email

Подвывих шейного позвонка

Подвывих шейного позвонка — это состояние, при котором суставные поверхности шейных позвонков частично смещаются. Чаще всего затрагивается атлант (первый шейный позвонок). Причинами могут быть несогласованное сокращение шейных мышц, давление или удар по голове. Симптомы включают боли в шее, вынужденное положение головы, головокружение, а также нарушения чувствительности и движений туловища и конечностей. Диагноз устанавливается на основе рентгенографии, КТ и МРТ. Лечение обычно консервативное — вправление и иммобилизация.

Общие сведения

Подвывих шейного позвонка — это частичное смещение суставных поверхностей двух соседних позвонков. Он может возникнуть из-за удара, падения или резкого поворота головы и иногда остается не диагностированным. Наиболее распространенным является ротационный подвывих атланта (С1), который составляет около 30% всех повреждений шейного отдела позвоночника. Обычно подвывихи позвонков являются изолированной травмой, и при адекватной терапии прогноз благоприятный.

В некоторых случаях, особенно при падении с высоты, подвывихи II шейного и нижележащих позвонков могут сочетаться с другими травмами, такими как переломы позвонков, черепно-мозговые травмы, переломы конечностей, повреждения грудной клетки и тупая травма живота. При наличии сочетанных повреждений, особенно черепно-мозговых травм и переломов позвонков, прогноз ухудшается, а риск неврологических осложнений возрастает. Лечением изолированных подвывихов занимаются врачи-травматологи, а при наличии неврологической симптоматики пациентов направляют к нейрохирургам.

image

Причины

К подвывиху могут приводить следующие факторы:

  • Работа в опасных условиях;
  • Поражение шейного отдела или всего позвоночника;
  • Неаккуратные движения головой;
  • Падения;
  • Нарушение правил безопасности при выполнении упражнений и трюков.

Подвывих часто возникает из-за механического воздействия или травмы суставов. Аномальные процессы в организме не являются причиной этой проблемы.

Подвывих шейного позвонка у новорожденных встречается довольно часто. Он может быть следствием неправильных движений мышц шеи во время родов. В таких случаях существует риск нарушения физиологического положения головы или ее смещения относительно центральной оси. У новорожденных слабый связочный аппарат, что увеличивает вероятность травмы.

Симптомы подвывиха

При повреждении шейного отдела позвоночника наблюдаются боли, вынужденное положение головы, болезненность при пальпации, напряжение мышц и отек мягких тканей шеи. Сдавление нервных корешков и спинного мозга может вызывать головокружение, нарушения сна, головные боли, судороги в руках, боли в спине, плечах, челюсти, шум в ушах, ощущение мурашек в пальцах, а также снижение объема и силы движений в конечностях.

Ротационный подвывих С1 проявляется следующими признаками: боль в верхней части шеи, поворот головы в сторону (влево при правостороннем подвывихе и вправо при левостороннем), резкое усиление боли при движениях и невозможность повернуть голову в больную сторону. В некоторых случаях могут возникать головокружение и потеря сознания. Подвывихи С2-С3 сопровождаются болями в шее, затруднением глотания и ощущением отечности языка. Подвывихи нижних шейных позвонков проявляются болями в шее, иррадиирующими в плечо, а также возможны вздутие живота и боли за грудиной.

Врожденные подвывихи шейных позвонков в первые месяцы жизни часто бессимптомны. С увеличением вертикальных нагрузок (стояние и ходьба) возникают сложности с движениями в шейном отделе, что может привести к нарушению стереотипов походки. В дальнейшем у таких детей могут наблюдаться головные боли, дефицит внимания, ухудшение памяти, быстрая утомляемость и повышенная капризность.

Диагностика

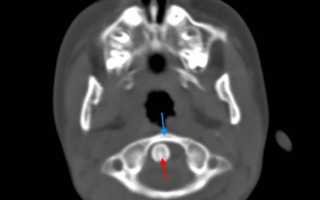
Основным методом диагностики подвывиха шейных позвонков является рентгенография позвоночника. Используются как стандартные проекции (боковая и прямая), так и дополнительные: косые снимки, рентгенограммы через рот, а также снимки в положении сгибания и разгибания шеи. Выбор дополнительных проекций зависит от предполагаемого уровня повреждения. Также могут быть назначены КТ и МРТ.

На КТ позвоночника можно увидеть уменьшение высоты диска и смещение суставных поверхностей. При подвывихе С1 наблюдается асимметрия между атлантом и зубом. МРТ позволяет уточнить состояние мягких тканей. Пациентам с подозрением на подвывих позвонков рекомендуется консультация невролога для выявления возможных неврологических нарушений. При хронических подвывихах и подозрении на ухудшение кровоснабжения головного мозга показана реоэнцефалография.

image

Лечение подвывиха шейного позвонка

При травме шеи необходимо полностью обездвижить голову и шею пострадавшего. Если он находится в автомобиле, сначала зафиксируйте шею, а затем извлекайте его из транспортного средства. Для фиксации используют специальные шины. При их отсутствии можно сделать самодельный воротник из нескольких слоев ваты, завернутой в марлю, чтобы он надежно фиксировал поврежденный участок и не мешал дыханию. Самостоятельное вправление подвывиха запрещено; это должен делать только квалифицированный специалист в стационаре.

Процедуру желательно проводить как можно раньше, так как со временем нарастает отек мягких тканей, что затрудняет вправление. Обычно используется петля Глиссона. Пациента укладывают на спину с небольшой плоской подушкой под плечами. Вправление может быть как постепенным с использованием небольшого груза, так и одномоментным, когда травматолог с помощью петли осуществляет тягу и разворот головы.

Во время вправления слышен характерный щелчок, пациент отмечает уменьшение боли и восстановление подвижности. Из-за повреждения связок после вправления может произойти повторный подвывих, поэтому больному запрещают двигать головой и накладывают воротник Шанца или краниоторакальную повязку на срок от 2 недель до 3 месяцев, в зависимости от уровня и характера подвывиха. После процедуры обязательно выполняется контрольная рентгенография.

В дальнейшем применяют лекарственную терапию, физиолечение, массаж и лечебную физкультуру (ЛФК). Для расслабления мышц шеи назначают толперизон, для нормализации работы нервной системы и улучшения кровообращения — витамины группы В, а для улучшения микроциркуляции — пентоксифиллин. Массаж можно начинать с первых дней после травмы, его цель — расслабление мышц и улучшение кровоснабжения тканей. Используются щадящие методики — поглаживания и растирания.

Занятия ЛФК начинаются сразу после вправления и продолжаются до полного выздоровления. На начальном этапе выполняются только упражнения для плеч и надплечий. После снятия воротника Шанца в комплекс добавляются движения шеей. Все упражнения необходимо выполнять осторожно, постепенно увеличивая нагрузку. Одновременно с ЛФК применяются физиотерапевтические методы: электрофорез с новокаином, ультразвук и тепловые процедуры.

Ротационный подвывих атланта: как распознать и как вылечить?

В результате физического воздействия на шейный отдел может возникнуть ротационный подвывих атланта. Это состояние связано с подвывихом первого шейного позвонка, называемого атлантом. Подвывих может произойти из-за прямого или непрямого удара, а также в результате непроизвольного сокращения мышц.

Чаще всего подвывих атланта возникает при неудачном нырянии в воду или в результате дорожно-транспортных происшествий. Эта травма может затрагивать не только взрослых, но и новорожденных. У младенцев подвывих может возникнуть при прохождении через узкие родовые пути или из-за неправильного удержания на руках. Важно, чтобы голова ребенка всегда имела надежную поддержку.

Какие существуют разновидности подвывиха?

В медицине различают несколько типов подвывиха, основанных на степени смещения атланта (первого шейного позвонка):

  1. Вращательное смещение, при котором поперечная связка остается целой.
  2. Смещение атланта на 3-5 мм, что приводит к деформации поперечной связки.
  3. Смещение более 5 мм, при котором атлантоаксиальное сочленение теряет стабильность.
  4. Редкий случай, когда шейный позвонок смещается назад.

Ссылка на видео

Как распознать травму?

В результате сдвига атланта он занимает необычное положение, что ограничивает движение шеи. Голова непроизвольно наклоняется в сторону, противоположную вывиху. Повернуть её в другую сторону становится невозможно. Это связано с потерей подвижности атлантоаксиального сустава и постоянным напряжением мышц шеи, которые остаются в состоянии напряжения и выглядят как валик. Мягкие ткани отекают.

Если у вас диагностирован подвывих шейного отдела, будьте внимательны: в редких случаях это может привести к проблемам со спинным мозгом. Позвоночный канал деформируется из-за нестабильности шейных позвонков. Также может пострадать артерия, питающая мозг. К болевым ощущениям в шее добавляются головные боли, головокружение и возможна потеря сознания.

Что делать пациенту с подвывихом?

Если вы подозреваете подвывих, обратитесь к врачу как можно скорее. Задержка в получении медицинской помощи может привести к ухудшению состояния. Врачи диагностируют травму следующим образом:

  • Рентгенография — показывает степень смещения позвонка;
  • КТ или МРТ — определяют характер деформации связок.

При черепно-мозговой травме, помимо МРТ, специалист направляет на допплерографию и ангиографию для выявления повреждений сосудов.

Как лечат подвывих?

Существует несколько способов вернуть позвонок в шейном отделе в исходное положение. Основные методы восстановления сустава — тракция (вытягивание) и деротация (возвращение сустава в первоначальное положение).

Время лечения зависит от степени смещения. Поставить позвонок на место можно за один сеанс — такая терапия называется одномоментной. В некоторых случаях требуется несколько сеансов, и вытягивание шеи происходит постепенно. Некоторые врачи используют петлю Глиссона в рамках терапии.

После манипуляций пациента отправляют на повторный рентген, чтобы убедиться, что все суставы вернулись на место. Кроме физического воздействия, для лечения подвывиха применяют медикаменты, такие как анальгетики и миорелаксанты.

Если врач диагностирует черепно-мозговую травму, для снижения давления внутри черепа и нормализации кровообращения в мозгу назначаются витамины группы В.

Автор: К.М.Н., академик РАМТН М.А. Бобырь

Читайте так же

  • Артем

    2017-08-17 13:08:06

    Выражаю благодарность Бабию Александру Сергеевичу. После обследования был установлен диагноз остеохондроз грудного отдела позвоночника. В результате 10 сеансов мануальной терапии и 5 сеансов УВТ достигнуты значительные успехи в… Читать дальше

  • Самбурова Ольга

    2014-10-01 16:50:01

    24 сентября 2014 года я, Самбурова Ольга Николаевна, обратилась в Клинику Бобыля (Пятницкое ш. 37) к доктору Киму Виталию Валерьевичу. Доктор, взглянув на снимок, поставил диагноз — травма таза (46 лет назад был разрыв симфиза во время родов). В результате лечения: 1. У меня появилось прямохождение; 2…. Читать дальше

  • Стефан

    2019-01-25 13:18:37

    В 2017 году я попал на прием к доктору Животову Алексею Анатольевичу. У меня плоскостопие разных степеней, и купленные в аптеке ортопедические стельки не давали нужного эффекта. Алексей Анатольевич продиагностировал все дефекты, изготовил индивидуальные стельки и дал полезные рекомендации… Читать дальше

  • Марина

    2015-12-14 23:25:10

    Во время беременности у меня были сильные боли в спине. Я обратилась в клинику, и после обследования выяснилось, что у меня радикулит, который начал проявляться на раннем сроке. Врачи назначили лечение, и весь оставшийся период беременности… Читать дальше

Врачи клиники Бобыря стаж работы от 10 лет

Подвывих шейного позвонка у ребенка и взрослых: симптомы, лечение

Причины подвывиха шейного позвонка у взрослых и новорожденных. Механизм травмы позвонков С1 (атлант) и С2. Наиболее распространенные виды подвывиха — ротационный и по Ковачу. Симптомы и последствия повреждения. Лечение включает вправление, массаж и ортопедические методы.

Особенности шейного отдела

Верхняя часть позвоночного столба состоит из 7 шейных позвонков:

  • Первый шейный позвонок, С1 (атлант), крепится к основанию черепа и имеет кольцевидную форму. Он несет основную нагрузку, но его подвижность может быть ограничена.
  • Второй шейный позвонок, С2 (аксис), находится рядом с важными органами. Сустав С2 позволяет поворачивать голову, и его смещение затрудняет эти движения.
  • Анатомия остальных позвонков ограничивает возможность наклона головы. При травме первого шейного позвонка пациент не может поворачивать голову. Сустав С2 связан с языком, слуховыми и глазными нервами, а также лбом.
  • Вокруг верхнего отдела позвоночника расположены сухожилия и связки.
  • Шейный отдел позвоночника является самым гибким и подвижным, но также уязвим к различным заболеваниям.

Клиническая картина

Симптомы делятся на две группы: специфические и неспецифические. Неспецифические признаки не позволяют точно определить характер повреждения:

  1. Сложности при движении головой;
  2. Боль в шее;
  3. Наклон или поворот головы в здоровом направлении;
  4. Напряжение, припухлость и боли в пораженной области;
  5. Возможность прощупать выпирающий отросток пораженного позвонка (не всегда наблюдается).

Специфические признаки указывают на характер проблемы. Для выявления подвывиха шейных позвонков характерны:

  • Шум в ушах;
  • Проблемы со сном;
  • Судороги в руках;
  • Дискомфорт в спине;
  • Покалывание в пальцах;
  • Головокружение;
  • Ухудшение функциональности рук;
  • Поражение плечевого пояса;
  • Боли в челюсти;
  • Головные боли.

При ротационном подвывихе С1 влево голова поворачивается вправо. Если подвывих направлен в другую сторону, возникают проблемы с поворотом головы в поврежденном направлении. Это может привести к головокружениям, обморокам и ухудшению зрения.

При травмах второго и третьего позвонков наблюдаются отечность языка, боль в шее и глотательные нарушения. Подвывихи третьего и четвертого позвонков вызывают дискомфорт в шее, который может распространяться на плечевой пояс и затылок, а также риск боли в левой части грудной клетки. У некоторых людей может возникать вздутие живота.

Правила транспортировки и первой помощи

Доставка пациента в лечебное заведение требует аккуратного размещения на жестких носилках в лежачем положении. Важно обеспечить полную неподвижность.

До приезда скорой помощи можно сделать внутримышечное введение обезболивающего препарата в ягодицу. Прием лекарств внутрь запрещен.

Запущенный хронический процесс, не распознанный и не леченный вовремя, может привести к искривлениям позвоночника, прогрессирующему остеохондрозу, грудной радикулопатии и другим серьезным осложнениям. При первых признаках дискомфорта в спине не откладывайте — срочно пройдите рентгенологическое обследование!

Методы диагностики

Для выявления патологии врач проводит первичный осмотр. Он может попросить пациента выполнить ряд движений, что зависит от клинической картины повреждения. Затем осуществляется пальпация пораженной области и диагностическое обследование. Для обнаружения подвывиха могут выполняться следующие процедуры:

  1. Спондилография — визуализирует состояние позвонков, суставов и дисков. При необходимости назначаются другие виды рентгенографии.
  2. Косые рентгенограммы — необходимы для четкой визуализации отростков суставов и межпозвоночных отверстий. Процедура выполняется при наклоне на 45 градусов.
  3. Рентгенография через рот — позволяет визуализировать только первые два позвонка и помогает выявить ротационный подвывих атланта.

Первая помощь

При получении повреждения необходимо оказать первую помощь. Это важно для нормализации состояния пациента. Сразу после травмы следует обездвижить шею, чтобы избежать смещения позвонков. Если нет специального шейного воротника, пациента укладывают на ровную и твердую поверхность.

После укладки на шею накладывают шину и прикладывают холодный компресс. Это поможет уменьшить отечность и облегчить боль. После этих действий рекомендуется вызвать бригаду врачей. Больного переносят в машину на твердых носилках или щите.

Попытки вправить поврежденный сустав самостоятельно строго запрещены. Это может привести к полному вывиху шейного позвонка или разрыву связок. Вправление выполняет врач после детальной диагностики, определения типа вывиха, его тяжести и расположения.

Диагностика подвывиха позвонка

Рентгенологическое исследование — основной метод диагностики. Шейный отдел позвоночника исследуется в пяти проекциях:

  • переднезадняя;
  • боковая;
  • боковая со сгибанием и разгибанием головы;
  • прямой снимок через открытый рот.

Этот стандарт минимизирует ошибки диагностики, так как подвывих может быть выявлен только на функциональных снимках. Исследование шейного отдела в двух или трех проекциях не дает достаточной информации для диагностики подвывиха атланта, который часто остается нераспознанным.

Для грудного и поясничного отделов используются переднезадняя и боковая проекции, включая снимок со сгибанием и разгибанием. В некоторых случаях дополнительно проводят МРТ или КТ позвоночника, а при осложнениях — электромиографию и ультразвуковое исследование сосудов головного мозга.

Прогноз на выздоровление

Своевременное лечение подвывиха Атланта может привести к полному выздоровлению. Однако важно учитывать, что такие травмы могут повторяться, особенно при повышенной подвижности шейного отдела позвоночника и занятиях экстремальными видами спорта.

Если уже возникли осложнения, их полное устранение бывает редким. Даже после стабилизации состояния пациента легкие симптомы могут сохраняться на протяжении всей жизни.

Физиотерапия

Физиотерапевтическое лечение подвывиха шейного позвонка проводится после завершения консервативных методов для закрепления результата. Его можно сочетать с активной реабилитацией и лечебной физкультурой.

Применяемые методы:

  • акупунктура с воздействием на триггерные точки;
  • электро- и магнитотерапия;
  • массаж и самомассаж воротниковой и паравертебральной зоны;
  • инфракрасное облучение.

В течение года после травмы необходима диспансеризация, осмотр травматолога и соблюдение щадящего режима активности.

Методы лечения

Для вправления подвывиха применяются различные методики, выбор которых зависит от осложнений, возраста пациента и типа повреждения. К эффективным методам относятся:

  1. Метод Витюга — используется для простых случаев без осложнений. Применяется локальное обезболивание, что помогает уменьшить дискомфорт и нормализовать тонус мышц. Иногда позвонок вправляется самостоятельно, в других случаях врач корректирует его положение, прикладывая небольшие усилия.

  2. Петля Глиссона — пациента укладывают на твердую поверхность с небольшим наклоном, при этом голова должна быть выше туловища. На подбородок надевают специальную петлю из ткани, к которой прикрепляют индивидуально рассчитанный груз. Это позволяет плавно растянуть позвонки, хотя процесс может занять много времени и не всегда дает желаемый результат.

  3. Рычаговый способ — подразумевает одномоментное вправление позвонков. При необходимости могут применяться анальгетики, но в простых случаях вправление проходит без них.

После процедуры необходимо иммобилизовать травмированный участок на месяц с помощью воротника Шанца, который доступен в различных размерах. Консервативное лечение способствует восстановлению хрящей и мышц, что помогает избежать рецидива.

Для восстановления мозгового кровообращения используют различные препараты, включая витамины группы В и медикаменты, активизирующие образование хондроцитов — хрящевых клеток.

Для ускорения выздоровления применяются следующие процедуры:

  1. Массаж — устраняет напряжение мышц и улучшает кровоток.
  2. Ультразвук — особые волны осуществляют микромассаж тканей, ускоряя восстановление.
  3. Тепловые манипуляции — теплые компрессы помогают снять мышечное напряжение.
  4. Электрофорез — обеспечивает местное нагревание.
  5. Магнитотерапия — расширяет сосуды, активизирует снабжение мозга кислородом и ускоряет обменные процессы.

В чем заключается опасность ротационного подвывиха

Такая травма особенно опасна для детей:

  • При отсутствии правильного лечения смещенных позвонков в суставе у ребенка быстро развиваются дегенеративные процессы из-за ускоренного обмена веществ.
  • Пораженные участки заменяются соединительной тканью.
  • Это приводит к уменьшению объема суставной капсулы.
  • В дальнейшем восстановить полноценное функционирование деформированного сочленения можно будет только с помощью операции. Поэтому важно, чтобы родители своевременно замечали признаки проблем в верхней части осевого скелета и обращались к врачу.

Другие болезни — клиники в

Выбирайте лучшие клиники по отзывам и ценам, записывайтесь на приём.

Подвывих Ковача

Подвывих Ковача был описан венгерским врачом, в честь которого и получил свое название. В настоящее время термины «подвывих Ковача» и «спондилолистез Ковача» обозначают одно и то же патологическое состояние. Подвывих Ковача характеризуется соскальзыванием отростков позвонков назад при сгибании головы и их возвращением в правильное положение при выпрямлении. Спондилолистез возникает из-за врожденного дефекта — незаращения дужки, или приобретенных изменений, нарушающих нормальную анатомию позвонков. Провокация подвывиха Ковача происходит при сильной мышечной нагрузке и часто наблюдается у работников физического труда.

Симптомы подвывиха Ковача могут быть разнообразными и включают:

  • боль в ногах и пояснице,
  • мышечный спазм,
  • парез стоп,
  • гипотрофию мышц,
  • уменьшение ахиллова рефлекса.

В целом подвывих Ковача схож с межпозвоночной грыжей, а точный диагноз можно установить с помощью рентгена.

Реабилитация

Процесс реабилитации включает физиопроцедуры. Пациенту назначается щадящий режим активности и диспансеризация (наблюдение врача) на протяжении года. Не рекомендуется активно выполнять упражнения для шеи; достаточно минимальных наклонов вперед и назад без нагрузки в течение пяти минут в день.

Из видео вы можете узнать рекомендуемые упражнения для восстановления после вывиха.

Упражнения после коррекции подвывиха атланта | метод СмоляковаУпражнения после коррекции подвывиха атланта | метод Смолякова

Профилактика

Основная мера профилактики вывихов позвонков — соблюдение техники безопасности и предотвращение травматизма. Регулярные физические упражнения, направленные на укрепление мышечного корсета спины, также снижают риск вывиха.

Чтобы избежать нежелательных последствий вывихов, важно своевременно обращаться за медицинской помощью после травмы и следовать рекомендациям врача.

Литература:

  1. Ковнер, «Очерки истории M.».
  2. А.В. Ланцова, Е.В. Санарова, Н.А. Оборотова и др. Разработка технологии получения инъекционной лекарственной формы на основе отечественной субстанции производной индолокарбазола ЛХС-1208 // Российский биотерапевтический журнал. 2014. Т. 13. № 3. С. 25-32.
  3. Wunderlich, «Geschichte der Medicin» (Штуттгардт, 1958).
  4. Красиота и медицина.
  5. Spina.ru.
  6. Muscle Pharma.
  7. З.С. Смирнова, Л.М. Борисова, М.П. Киселева и др. Противоопухолевая активность соединения ЛХС-1208 (N-гликозилированные производные индоло[2,3-а]карбазола) // Российский биотерапевтический журнал 2010. № 1. С. 80.
  8. Baas, «Geschichte d. Medicin».
Ссылка на основную публикацию
Похожее