Вт-вс: 10:00—21:00
whatsapp telegram vkontakte email

Ушиб легкого (Контузия легкого, Сотрясение легкого)

Ушиб лёгкого — это повреждение лёгочной ткани при сохранении целостности висцеральной плевры, возникающее из-за тупой травмы или сдавления грудной клетки. Симптомы включают боли в груди, одышку и, в некоторых случаях, кровохарканье. Диагноз ставится на основе анамнеза, осмотра, рентгенографии, компьютерной томографии грудной клетки и бронхоскопии. Лечение проводится консервативно с использованием анальгетиков, антибиотиков, кортикостероидов, физиотерапии и лечебной физкультуры. При необходимости обеспечивается респираторная поддержка.

Общие сведения

Ушиб (контузия, сотрясение) лёгкого — это закрытое травматическое повреждение грудной клетки, чаще всего встречающееся у пострадавших в дорожно-транспортных происшествиях. По статистике, ушиб лёгкого наблюдается у 30-55% пациентов с торакальными травмами. Он часто сочетается с переломами рёбер и иногда — с разрывом лёгкого. При обширных повреждениях лёгочной паренхимы в 50-60% случаев развивается острый респираторный дистресс-синдром, угрожающий жизни. У 10-40% травматологических больных контузия лёгочной ткани заканчивается летальным исходом.

image

Причины ушиба лёгкого

Травматическое повреждение лёгких возникает из-за механического воздействия на грудную клетку. Контузия происходит при сильном ударе тупым предметом или взрывной волне в области груди. Ушиб может возникнуть как на стороне удара, так и в противоположном лёгком из-за противоудара. Чаще всего такие травмы происходят в автокатастрофах, особенно у водителей, которые ударяются грудью о рулевую колонку. Выраженное сотрясение лёгких, вплоть до размозжения тканей, может произойти при падении с высоты на спину или живот, а также при сдавлении грудной клетки тяжёлыми предметами.

Патогенез

Сильный удар в грудную клетку травмирует её костный каркас. Прогнувшиеся рёбра повреждают лёгкое, вызывая его ушиб. Травмируется сосудистая сеть, и лёгочная паренхима пропитывается кровью. Тяжёлая травма может сопровождаться отрывом бронхов. Из-за рефлекторного смыкания голосовой щели увеличивается внутригрудное давление, что приводит к разрыву межальвеолярных перегородок. В результате образуются кисты, заполненные воздухом (пневмоцеле) и кровью (гематоцеле). От противоудара возникают аналогичные повреждения с другой стороны. Происходит смещение органов грудной полости и ушиб лёгких о контрлатеральную половину грудной клетки и позвоночник. Пропитанная кровью лёгочная ткань частично теряет эластичность, что нарушает газообмен и вызывает кислородное голодание.

Классификация

Характер травматического повреждения легких зависит от размеров предмета и силы удара. Ушиб легких может быть ограниченным или обширным в зависимости от площади травматической инфильтрации паренхимы. Распространенность и локализация ушиба имеют клиническое и прогностическое значение. Массированная контузия легочной паренхимы часто приводит к смерти на месте происшествия. Выделяют три степени тяжести патологического процесса:

  • Легкая степень. Ограниченный ушиб локализуется в периферических участках легкого и затрагивает 1-2 сегмента. Дыхательная недостаточность отсутствует.
  • Средняя степень. Зона ушиба охватывает несколько сегментов. Возможны отдельные фокусы размозжения паренхимы и повреждения сосудов среднего калибра. Наблюдается умеренная дыхательная недостаточность, насыщение крови кислородом 90-95%.
  • Тяжелая степень. Обширное поражение альвеолярной ткани с размозжением и повреждением прикорневых структур и магистральных сосудов. Развивается острая дыхательная недостаточность, содержание кислорода в периферической крови резко снижается.

Симптомы ушиба лёгкого

Клинические проявления незначительной контузии лёгких могут отсутствовать. Пациенты часто не обращают внимания на болевой синдром при ограниченном повреждении лёгкого, принимая его за признак ушиба грудной стенки или перелома ребра. Боль локализуется на стороне поражения и усиливается при глубоком вдохе, нажатии на грудную стенку, наклонах и движениях туловища. Интенсивность боли зависит от площади и глубины ушиба. Выраженная двусторонняя торакалгия возникает при обширной травматизации лёгочной ткани.

Кровохарканье (кашель с примесью крови в мокроте) указывает на среднетяжёлый или тяжёлый характер травмы. Оно может возникнуть в течение первых суток после травмы и быть как однократным, так и повторяющимся в течение 1-7 дней. Отсутствие кровохарканья не исключает контузию лёгких. Другими специфическими симптомами серьёзного повреждения респираторной системы являются признаки «шокового» лёгкого. Пострадавший испытывает прогрессирующую одышку, тахикардию и снижение артериального давления. Кожные покровы бледнеют, появляется цианоз. Косвенными признаками закрытой лёгочной травмы могут быть кровоподтёки в месте удара.

Осложнения

Гематома грудного отдела — это одно из легких последствий ушиба легкого. К серьезным осложнениям относятся: дыхательная недостаточность, пневмония, пневмоторакс, кровотечение, гемоторакс и кровопотеря.

Диагностика

Пострадавшего должен осмотреть травматолог или торакальный хирург. Врач уточняет обстоятельства травмы и проводит клинический осмотр. Для подтверждения диагноза используются следующие методы:

  • Физикальное исследование. Врач определяет усиление болевых ощущений при надавливании на спину или грудной отдел в месте поражения. При некоторых травмах можно прощупать локализацию перелома ребер. Аускультация легких позволяет услышать влажные хрипы в поврежденной зоне.
  • Лабораторные анализы. Для исключения внутреннего кровотечения выполняется клинический анализ крови. Исследование мокроты помогает выявить эритроциты, указывающие на легочное повреждение. Степень гипоксемии определяется анализом газового состава крови, а уровень насыщения кислородом показывает пульсоксиметрия.
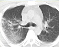
  • Лучевые исследования. Рентгенография позволяет выявить участки инфильтрации легочной ткани через несколько дней после травмы. Она необходима при подозрении на перелом ребер, пневмо- и гемоторакс. Компьютерная томография рекомендуется при более тяжелых патологиях, таких как разрыв легкого, пневмоцеле и ателектазы.
  • Бронхоскопия. Применяется по строгим показаниям для определения источника кровотечения при кровохарканье. Одновременно с эндоскопическим исследованием проводится лечебная санация бронхов.

image

Лечение ушиба лёгкого

При отсутствии жалоб пациент с подозрением на ушиб легкого госпитализируется в отделение хирургии или травматологии на 1-2 суток под наблюдение. Пострадавшему с диагностированным травматическим повреждением дыхательной системы рекомендуется полный покой и консервативное лечение. Основные принципы медикаментозной терапии:

  • Обезболивание. Применяются нестероидные противовоспалительные препараты. При выраженном болевом синдроме и переломах рёбер или позвоночника выполняются лечебные субплевральные блокады межрёберных нервов. При неосложнённом лёгком ушибе достаточно ограничить физическую активность и назначить анальгетики.
  • Купирование острой дыхательной недостаточности. Назначается оксигенотерапия через носовой катетер. Для улучшения газообмена используются кортикостероиды. Для стабилизации гемодинамики применяется инфузионно-трансфузионная терапия. При ухудшении дыхания пострадавший переводится на искусственную вентиляцию лёгких.
  • Профилактика пневмонии. Нарушение дренажной функции дыхательных путей требует санации. При первых признаках пневмонии назначаются антибиотики широкого спектра действия, обычно цефалоспорины.

Показанием для хирургического вмешательства являются отрывы крупных бронхов и повреждения магистральных сосудов. В восстановительном периоде применяются физиотерапевтические процедуры (магнитолазерная терапия, спелеолечение), массаж, лечебная физкультура и дыхательная гимнастика. Рекомендуются регулярные пешие прогулки и плавание.

Прогноз и профилактика

Пациент с локализованным ушибом легкого восстанавливается без осложнений в течение двух недель. Травма средней тяжести имеет благоприятный прогноз, однако тяжелые последствия могут возникнуть при отсутствии адекватного лечения, у пожилых пациентов и при наличии сопутствующих заболеваний. Обширные глубокие ушибы, разрывы и размозжение легочной ткани могут привести к смерти пострадавшего.

Соблюдение мер личной безопасности помогает избежать ушибов. Своевременная медицинская помощь является профилактикой ранних и поздних осложнений травмы.

Медицинский эксперт проекта с 30-летним стажем в практической медицине. С 2006 по 2016 год — руководитель службы экспертизы качества медицинской помощи и защиты прав застрахованных в СоГАЗ-мед. С 2018 года — научный консультант и медицинский эксперт проекта Cross.Expert.

Редакция cross.expert

Календарь событий: всего 66 событий.

Ушиб легкого – клинические симптомы и реабилитация

Ушиб легкого — это повреждение легочной ткани, возникающее в результате тупого удара или сжатия грудной клетки. При этом целостность висцеральной плевры остается сохранной.

Причины

Основной причиной ушиба легкого является травма грудной клетки от удара тупым предметом или взрывной волны. Патология возникает в месте удара и противоудара.

Чаще всего такие травмы происходят в результате ДТП. Водители могут удариться грудью о рулевую колонку, получая травму. Также возможно сотрясение легких и размозжение тканей из-за сжатия грудной клетки тяжелыми предметами или падения с высоты на спину или живот.

Степени тяжести

Сила механического воздействия и размеры поверхности травмирующего агента влияют на характер повреждения легких. В зависимости от площади пораженной области, патология может быть обширной или локализованной. Месторасположение и размер зоны ушиба важны для оценки клинической картины и прогноза.

Массивный ушиб легких может привести к смерти пострадавшего на месте происшествия.

В зависимости от тяжести патологического процесса выделяют следующие степени:

  1. Легкая. Повреждение легкого ограничено поверхностными тканями и занимает не более двух легочных сегментов. Дыхательной недостаточности нет.
  2. Средняя. Ушиб охватывает несколько сегментов легочной ткани, присутствуют зоны размозжения паренхимы и сосудистые повреждения. Дыхательная недостаточность умеренная, насыщение крови кислородом 90% и выше.
  3. Тяжелая. Обширное поражение альвеолярной ткани, размозжение и повреждение прикорневых структур. Содержание кислорода в периферической крови снижено.

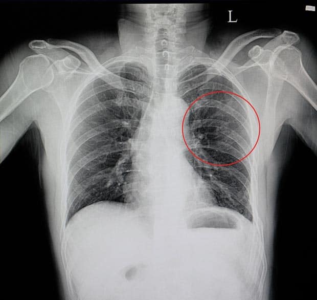
© SOPONE — stock.adobe.com

image

Симптомы

Ушиб легкого сложно распознать в первые часы после травмы. Это приводит к ошибкам в диагнозе, когда медицинские сотрудники принимают симптомы за последствия забоя грудной клетки или перелома ребер, что может вызвать неправильное лечение.

Клинические симптомы контузии легкого:

  • Увеличение дыхательных нарушений (одышки).
  • Отечность и гематома в месте удара.
  • Влажные хрипы.
  • Цианоз.
  • Увеличение частоты сердечных сокращений в покое.
  • Кровохарканье, проявляющееся при тяжелом или среднетяжелом течении (в течение первых суток после травмы).
  • Снижение артериального давления.
  • Поверхностное дыхание и болезненные ощущения при глубоком вдохе.

Скопление крови в мягких тканях приводит к увеличению объема грудной клетки. При тяжелой степени патологии может произойти полная остановка дыхания, что требует немедленных реанимационных мероприятий.

Первая помощь

Симптомы ушиба легкого появляются спустя некоторое время после травмы, что затрудняет оказание своевременной помощи. Комплекс неотложных действий при ушибе легкого схож с доврачебной помощью при других травмах:

  • Холодный компресс (15 мин). Уменьшает отечность и облегчает боль. Холод сужает кровеносные сосуды и предотвращает образование гематом.
  • Иммобилизация. Пострадавшему необходимо обеспечить полный покой и избегать движений.
  • Медикаменты. Запрещено использовать обезболивающие и противовоспалительные средства, так как они могут затруднить правильную диагностику.

Лечение

При подозрении на ушиб легкого необходимо немедленно госпитализировать пациента в хирургическое или травматологическое отделение на несколько суток. Консервативное лечение включает:

  • Обезболивание с использованием нестероидных противовоспалительных средств.
  • Купирование острой дыхательной недостаточности с помощью оксигенотерапии, инфузионно-трансфузионной терапии и кортикостероидов. В тяжелых случаях пациент переводится на искусственную вентиляцию легких.
  • Профилактику пневмонии. При нарушениях дренажной функции дыхательных путей проводится санация. Рекомендуется назначение антибиотиков.

Хирургическое вмешательство требуется при отрывах крупных бронхов или повреждении сосудов.

В период восстановления назначаются лечебная физкультура, массаж и физиотерапия.

Что такое Ушиб легкого

Ушиб лёгкого — это повреждение лёгочной ткани при сохранении целостности висцеральной плевры, возникающее из-за тупой травмы или сдавления грудной клетки. Он сопровождается болями в груди, одышкой и, в некоторых случаях, кровохарканьем.

Патогенез

Сильный удар в грудную клетку травмирует её костный каркас. Прогнувшиеся рёбра повреждают лёгкое, вызывая его ушиб. Травмируется сосудистая сеть, а лёгочная паренхима пропитывается кровью. Тяжёлая травма может сопровождаться отрывом бронхов. Из-за рефлекторного смыкания голосовой щели нарастает внутригрудное давление, что приводит к разрыву межальвеолярных перегородок. В результате образуются кисты, заполненные воздухом (пневмоцеле) и кровью (гематоцеле). От противоудара возникают аналогичные повреждения с другой стороны. Происходит смещение органов грудной полости и ушиб лёгких о контрлатеральную половину грудной клетки и позвоночник. Пропитанная кровью лёгочная ткань частично теряет эластичность, что нарушает газообмен и вызывает кислородное голодание.

Классификация

Характер травматического повреждения легких зависит от размеров предмета и силы удара. Ушиб легких может быть ограниченным или обширным, что имеет клиническое и прогностическое значение. Массивная контузия легочной паренхимы часто приводит к смерти на месте происшествия. Выделяют три степени тяжести:

  • Легкая степень. Ограниченный ушиб локализуется в периферических участках легкого и затрагивает 1-2 сегмента. Дыхательная недостаточность отсутствует.
  • Средняя степень. Зона ушиба охватывает несколько сегментов, возможны фокусы размозжения паренхимы и повреждения сосудов. Наблюдается умеренная дыхательная недостаточность, насыщение крови кислородом 90-95%.
  • Тяжелая степень. Обширное поражение альвеолярной ткани с размозжением и повреждением крупных сосудов. Развивается острая дыхательная недостаточность, содержание кислорода в крови резко снижается.
Симптомы ушиба легкого

При незначительной контузии легких клинические проявления могут отсутствовать. Пациенты часто не обращают внимания на боль при ограниченном повреждении, принимая ее за признак ушиба грудной стенки или перелома ребра. Боль локализуется на стороне поражения и усиливается при глубоком вдохе, нажатии на грудную стенку и движениях туловища. Интенсивность боли зависит от площади и глубины ушиба. Выраженная двусторонняя торакалгия возникает при обширной травматизации легочной ткани.

Кровохарканье (кашель с примесью крови) указывает на среднетяжелый или тяжелый характер травмы. Оно может возникнуть в течение первых суток после травмы и быть как однократным, так и повторяющимся в течение 1-7 дней. Отсутствие кровохарканья не исключает контузию легких. Другие симптомы серьезного повреждения респираторной системы включают прогрессирующую одышку, тахикардию и снижение артериального давления. Кожные покровы бледнеют, появляется цианоз. Косвенные признаки закрытой травмы легких — кровоподтеки в месте удара.

Осложнения

Ограниченный ушиб легкого обычно проходит без последствий. Однако при отсутствии своевременной помощи среднетяжелая травма может привести к опасным осложнениям. Наиболее частым из них (25-30% случаев) является посттравматическая пневмония, которая может стать причиной смерти. Ушиб легкого может привести к образованию участков пневмофиброза. Иногда после травмы остаются заполненные воздухом полости, которые при субплевральном расположении могут вызвать пневмоторакс. Около 5% пациентов становятся инвалидами из-за хронической легочно-сердечной недостаточности.

Лечение ушиба легкого

При отсутствии жалоб пациента с подозрением на ушиб легкого госпитализируют в хирургическое или травматологическое отделение на 1-2 суток под наблюдение. Рекомендуется полный покой и консервативное лечение. Основные принципы медикаментозной терапии:

  • Обезболивание. Применяются нестероидные противовоспалительные препараты. При выраженной боли и переломах ребер выполняются лечебные блокады межреберных нервов. При неосложненном ушибе достаточно ограничить физическую активность и назначить анальгетики.
  • Купирование дыхательной недостаточности. Назначается оксигенотерапия через носовой катетер. Для улучшения газообмена используются кортикостероиды. При ухудшении состояния пациента переводят на искусственную вентиляцию легких.
  • Профилактика пневмонии. При нарушении дренажной функции дыхательных путей проводится санация. При первых признаках пневмонии назначаются антибиотики широкого спектра, обычно цефалоспорины.

Показанием для хирургического вмешательства являются отрывы крупных бронхов и повреждения магистральных сосудов. В восстановительный период применяются физиотерапевтические процедуры, массаж, лечебная физкультура и дыхательная гимнастика. Рекомендуются регулярные прогулки и плавание.

Прогноз и профилактика

Ограниченный ушиб легкого обычно полностью заживает в течение двух недель. Прогноз при повреждениях средней степени в основном благоприятный, но отсутствие лечения, пожилой возраст и сопутствующие заболевания могут привести к тяжелым последствиям. Соблюдение мер безопасности и своевременное обращение за медицинской помощью помогают избежать травм и осложнений.

Литература:

  1. Pund A. U., Shandge R. S., Pote A. K. Current approaches on gastroretentive drug delivery systems. Journal of Drug Delivery and Therapeutics. 2020; 10(1): 139–146. DOI: 10.22270/jddt.v10i1.3803.
  2. Daremberg, «Histoire des sciences médicales» (П., 1966).
  3. Мустафин Р. И., Протасова А. А., Буховец А. В., Семина И.И. Исследование интерполимерных сочетаний на основе (мет)акрилатов в качестве перспективных носителей в поликомплексных системах для гастроретентивной доставки. Фармация. 2014; 5: 3–5.
  4. https://www.KrasotaiMedicina.ru/diseases/zabolevanija_pulmonology/pulmonary-contusion.
  5. https://cross.expert/zdorovye-atleta/sport-travmy/ushib-legkogo.html.
  6. https://mypharm.uz/bolezni/pulmonologiya/ushib-legkogo/.
  7. Puccinotti, «Storia della medicina» (Ливорно, 1954—1959).
  8. Sprengel, «Pragmatische Geschichte der Heilkunde».
Ссылка на основную публикацию
Похожее