Вт-вс: 10:00—21:00
whatsapp telegram vkontakte email

Чем грозят травмы головного мозга и какая помощь может быть оказана пострадавшему?

Травмировать головной мозг может любой сильный удар в область головы, даже если череп остается целым. Мозг защищен мягкими оболочками и цереброспинальной жидкостью, но от ударов он не застрахован полностью. При переломе черепа мозг может быть поврежден осколками костей.

Врач-терапевт при первом осмотре обязательно спросит о наличии черепно-мозговых травм в анамнезе пациента. Повреждения головного мозга могут долгое время влиять на эмоциональное и психическое состояние человека, а также на работу внутренних органов и жизненно важных систем.

Виды травм головного мозга и их признаки

По данным НИИ им. Н.В. Склифосовского, в России основными причинами травм головного мозга являются падения с высоты (чаще всего в нетрезвом состоянии) и криминальные действия. Эти два фактора составляют около 65% случаев. Примерно 20% травм вызваны дорожно-транспортными происшествиями и падениями. В отличие от мировой статистики, где ДТП составляют половину случаев, в России наблюдается другая картина. В целом в мире ежегодно травмы головного мозга получают 200 человек на 10 000, и эта цифра растет.

Сотрясение головного мозга возникает после незначительного травмирующего воздействия и представляет собой обратимые функциональные изменения. Оно встречается почти у 70% пострадавших с черепно-мозговыми травмами. Характерна кратковременная потеря сознания (от 1 до 15 минут). После восстановления сознания больной часто не помнит обстоятельств травмы. Симптомы включают головную боль, тошноту, реже рвоту, головокружение и слабость. Эти проявления обычно исчезают через 5-8 дней. Несмотря на то что сотрясение считается легкой травмой, около половины пострадавших испытывают остаточные явления, которые могут снизить трудоспособность. Обязателен осмотр у нейрохирурга или невролога для определения необходимости КТ или МРТ. Обычно госпитализация не требуется, достаточно амбулаторного лечения под наблюдением врача.

Сдавление головного мозга происходит из-за гематом в черепной полости, что приводит к уменьшению внутричерепного пространства. Это состояние опасно, так как может ущемить ствол головного мозга и нарушить жизненно важные функции дыхания и кровообращения. Гематомы, вызывающие сдавление, требуют срочного удаления.

Ушиб головного мозга — это повреждение вещества мозга вследствие удара, часто с кровоизлиянием. Ушибы могут быть легкой, средней и тяжелой степени. При легких ушибах неврологические симптомы сохраняются 2-3 недели и проходят самостоятельно. Средняя степень характеризуется нарушениями психической деятельности и временными расстройствами жизненно важных функций. При тяжелых ушибах больной может находиться без сознания несколько недель. Степень ушиба и состояние пациента диагностируются с помощью компьютерной томографии. Лечение включает нейропротекторы, антиоксиданты, сосудистые и седативные препараты, витамины группы В и антибиотики. Рекомендуется постельный режим.

Аксональные повреждения возникают при ударе по голове и представляют собой множественные разрывы аксонов с микроскопическими кровоизлияниями в мозг. Этот вид травмы может привести к прекращению корковой деятельности и коме, которая может длиться годами. Лечение направлено на поддержание жизненных функций и предотвращение инфекций.

Внутричерепное кровоизлияние может возникнуть из-за разрушения стенки кровеносного сосуда при ударе по голове, что приводит к локальному кровоизлиянию в череп. Это вызывает резкое повышение внутричерепного давления и повреждение мозговых тканей. Симптомы включают сильную головную боль, угнетение сознания, судороги и рвоту. Лечение зависит от индивидуальной ситуации и может включать как медикаментозные, так и хирургические методы для удаления и рассасывания гематомы.

Последствия травм головы

Последствия травмы головного мозга могут проявляться в процессе лечения, в реабилитационный период (до полугода) и в отдаленные сроки (до двух лет и дольше). К основным последствиям относятся психические и вегетативные дисфункции, которые могут осложнить жизнь пациента: изменения чувствительности, речи, зрения, слуха, подвижности, расстройства памяти и сна, спутанность сознания. Возможны посттравматические эпилепсия, болезнь Паркинсона и атрофия мозга. Тяжесть травмы напрямую влияет на количество негативных последствий. Успех лечения зависит не только от правильной терапии, но и от реабилитационного периода, когда пациент постепенно возвращается к обычной жизни. Важно вовремя выявить начало посттравматических заболеваний для их лечения.

Известны случаи, когда травмы головного мозга приводили к появлению у пострадавших новых талантов, таких как способности к изучению иностранных языков, точных наук, изобразительному искусству или музыке. Это явление называется приобретенным синдромом саванта. Часто такие способности основаны на старых воспоминаниях. Например, пациент мог учить китайский язык в школе, забыть его, но после травмы вновь заговорить и продолжить обучение с успехом.

Первая помощь при травмах головы

Каждый может оказаться рядом с человеком, получившим травму головы. Знание правил первой доврачебной помощи поможет облегчить его состояние и спасти жизнь.

  • Признаки серьезной черепно-мозговой травмы включают истечение крови или светлой жидкости (ликвора) из носа или уха, а также синяки вокруг глаз. Симптомы могут проявиться не сразу, поэтому при сильном ударе по голове необходимо немедленно вызвать скорую помощь.
  • Если пострадавший потерял сознание, проверьте его дыхание и пульс. При их отсутствии нужно сделать искусственное дыхание и массаж сердца. Если пульс и дыхание есть, укладывайте человека на бок до приезда скорой, чтобы избежать удушья от рвоты или запавшего языка. Поднимать его нельзя.
  • При закрытой травме приложите к месту удара лед или холодное мокрое полотенце, чтобы уменьшить отек и боль. Если есть кровоточащая рана, обработайте кожу вокруг нее йодом или зеленкой, закройте рану марлевой салфеткой и аккуратно перевяжите.
  • Запрещается трогать или удалять обломки костей, металла или другие инородные тела из раны, чтобы не усилить кровотечение и не занести инфекцию. В этом случае вокруг раны уложите марлевый валик, а затем сделайте перевязку.
  • Транспортировать пострадавшего в больницу следует только в лежачем положении.

В больнице пациента осмотрят, определят степень тяжести состояния и назначат диагностические процедуры. При открытых ранах с обломками костей или инородными телами требуется срочная операция.

Восстановительная терапия

Реабилитационный период необходим для восстановления утраченных из-за травмы функций и подготовки пациента к дальнейшей жизни. Международные стандарты предлагают следующие меры реабилитации после травмы головного мозга:

  • Нейропсихологическая коррекция для восстановления памяти, внимания и контроля над эмоциями.
  • Медикаментозная терапия для улучшения кровообращения в головном мозге.
  • Логопедические занятия.
  • Психотерапия для снятия депрессивных состояний.
  • Акватерапия, стабилометрия, PNF-терапия для компенсации двигательных нарушений.
  • Физиотерапия (магнитотерапия, транскраниальная терапия) для стимуляции мозговой активности.
  • Диетическое питание для обеспечения клеток мозга необходимыми аминокислотами.
  • Обеспечение физического комфорта и внимательный сестринский уход.
  • Семейное консультирование для создания атмосферы взаимопонимания в семье.

Оптимальный срок начала реабилитации — 3-4 недели с момента травмы головы. Наибольших успехов в восстановлении можно достичь в течение 1,5-2 лет после выписки из стационара; затем прогресс замедляется.

Осложнения после травм головного мозга (сотрясение, ушиб головного мозга)

Нарушение нормального функционирования головного мозга, возникающее после механической травмы черепа без сосудистых патологий, называется сотрясением мозга. Это расстройство наблюдается у 60-70% людей, получивших травму головы.

Сотрясение головного мозга относится к легким формам черепно-мозговой травмы (ЧМТ), которая включает повреждение черепных костей и/или мягких тканей. Это наиболее распространенный вид ЧМТ в медицинской практике. Сотрясение характеризуется развитием общемозговой и/или нестойкой очаговой неврологической симптоматики, которая обычно быстро проходит.

Краткосрочные осложнения сотрясения мозга

У некоторых пациентов, перенесших сотрясение мозга, могут развиться постстрессовые расстройства:

  • настойчивые головные боли, продолжающиеся 7-14 дней, которые уменьшаются при приеме анальгетиков;
  • головокружение, затрудненная концентрация внимания и сложности с выполнением обычных действий (чтение, письмо и т. п.);
  • периодическая рвота без видимых причин и чувство тошноты.

Чаще всего побочные симптомы сотрясения мозга исчезают самостоятельно. Если же они сохраняются несколько месяцев, необходимо обратиться к врачу для консультации с невропатологом или пройти томографию мозга (МРТ или КТ) для уточнения диагноза.

Осложнения при сотрясении мозга

Сотрясение мозга может привести к различным осложнениям. Многократные сотрясения вызывают состояние, известное как dementia pugilistica или энцефалопатия боксеров. Это форма посттравматического паркинсонизма, характерная для профессиональных боксеров, регулярно получающих травмы головы. Г. Мартленд описал признаки посттравматической энцефалопатии: небольшое отставание в движениях одной ноги, «шлепки» стопы, проблемы с равновесием, замедленность действий и периодическая спутанность сознания. У некоторых пациентов проявления болезни могут быть слабо выражены, в других случаях наблюдаются волочение ног, заторможенность и специфические психические нарушения, такие как уменьшение словарного запаса и дрожь.

Осложнения травмы головы могут быть серьезными, поэтому при сотрясении мозга необходимо обращаться к врачу. Черепно-мозговая травма любого типа может вызвать изменения в психике и физические нарушения. К таким осложнениям относятся:

  • Специфическая реакция на алкоголь или инфекции: в нетрезвом состоянии или при инфекционных заболеваниях могут наблюдаться помрачение сознания, делирий, вспышки перевозбуждения и другие психические расстройства.
  • Вазомоторные расстройства, проявляющиеся:

    — постоянными головными болями, усиливающимися при физической нагрузке или резких движениях;

    — головокружениями при физических усилиях и наклонах;

    — приливами крови к голове, чередующимися с бледностью и повышенной потливостью (часто ассиметрично);

    — быстрой усталостью и отсутствием концентрации.

  • Неконтролируемые всплески эмоций, повышенная раздражительность, склонность к агрессии. Часто за агрессивными вспышками следует раскаяние и извинения.

  • Приступы судорог, схожие с эпилептическими припадками.
  • Параноидные качества и невротические состояния, проявляющиеся чрезмерной тревожностью, страхами, головными болями и нарушениями сна.

Редкими осложнениями являются психотические расстройства, сопровождающиеся галлюцинациями и бредом. В некоторых случаях это может привести к деменции — приобретенному слабоумию с серьезными нарушениями мышления, памяти и критического восприятия.

Чаще всего встречается посткоммоционный синдром, который может проявиться через месяц или год после травмы. Он характеризуется резкими головными болями, головокружением, беспокойством и проблемами со сном и концентрацией. Психотерапевтическое лечение последствий сотрясения мозга редко оказывается эффективным; рекомендуется симптоматическое лечение. Однако следует помнить, что сильные обезболивающие могут быть опаснее самой болезни и привести к медикаментозной зависимости.

Последствия ушиба головного мозга

При ушибе головного мозга легкой степени осложнения практически не возникают.

Ушиб средней степени может не повлиять на дальнейшую жизнь пациента, если отсутствуют субарахноидальное кровоизлияние и переломы черепа. Однако для успешного исхода необходимо полноценное лечение. У некоторых пациентов травма может оставить последствия, среди которых наиболее распространены посттравматический арахноидит, гидроцефалия, эпилепсия, синдром вегетососудистой дистонии и энцефалопатия.

Ушиб головного мозга тяжелой степени имеет худший прогноз. В 30-50% случаев такая травма заканчивается летально в остром периоде. Среди выживших часто наблюдаются следующие осложнения:

  • посттравматическая атрофия мозга;
  • воспаление мозговых оболочек (арахноидит, лептоменингит, пахименингит);
  • посттравматическая эпилепсия;
  • гидроцефалия с внутричерепной гипертензией;
  • порэнцефалия (полости в мозге, соединяющиеся с желудочками и субарахноидальным пространством);
  • ликворные кисты;
  • рубцы в ткани мозга и его оболочках;
  • ликворея при переломах черепа.

Эти состояния могут проявляться двигательными расстройствами (парезы и параличи), нарушениями речи и координации, психическими расстройствами, снижением интеллекта, частыми головными болями, головокружением и судорожными припадками. В таких случаях пациентам присваивается группа инвалидности из-за утраты трудоспособности.

Ушиб головного мозга — серьезное состояние, требующее обязательного лечения в стационаре с соблюдением всех врачебных рекомендаций. Быстрая медицинская помощь может спасти жизнь пострадавшему, а качественное лечение поможет избежать осложнений.

Ушиб головного мозга

Ушиб головного мозга — это черепно-мозговая травма с ограниченными изменениями церебральных тканей. Симптомы включают потерю сознания, амнезию, рвоту, головокружение, анизокорию, очаговую симптоматику, менингеальные признаки, а также изменения сердечного и дыхательного ритма. Основной метод диагностики — КТ головного мозга. Консервативное лечение включает коррекцию жизненно важных функций, нормализацию внутричерепного давления и нейропротекторную терапию. Хирургическое вмешательство проводится только по показаниям и может включать трепанацию черепа, декомпрессию и удаление очагов ушиба.

Общие сведения

Ушиб головного мозга (УГМ) составляет 25-30% всех черепно-мозговых травм (ЧМТ). В отличие от сотрясения, ушиб мозга сопровождается морфологическими изменениями в церебральных тканях. Существует три степени тяжести ушиба: первая и сотрясение относятся к легким ЧМТ, вторая — к средней тяжести, третья — к тяжелым ЧМТ. Оценка тяжести ушиба проводится на основе состояния сознания, общего состояния пострадавшего, неврологического дефицита и данных томографических исследований. В России ушиб головного мозга распределяется по степеням тяжести следующим образом: легкий — 33%, средней тяжести — 49%, тяжелый — 18%.

Ушиб головного мозга в 2-3 раза чаще встречается у мужчин. В 5-20% случаев этого вида ЧМТ у пострадавших выявляется алкогольное опьянение. Тяжелый ушиб головного мозга является одной из основных причин летальности и инвалидизации среди людей до 45 лет. Поэтому своевременная диагностика и поиск оптимальных методов лечения УГМ являются приоритетными задачами травматологии, нейрохирургии, неврологии и реабилитологии.

image

Причины ушиба головного мозга

Ушиб головного мозга может возникнуть в результате транспортной аварии, профессиональной, бытовой, криминальной или спортивной травмы. У детей дошкольного возраста УГМ чаще всего происходит из-за падений. Также ушиб мозга может случиться при внезапном падении во время эпилептического приступа или дроп-атаки. Часто УГМ сопровождается переломом черепа, а в половине случаев — внутричерепным кровотечением (субарахноидальным, субдуральным или внутримозговым).

Патофизиология УГМ включает первичное и вторичное повреждение. Первичное повреждение происходит непосредственно при травме и связано со смещением мозга в черепной коробке, а также смещением полушарий относительно ствола мозга. Это приводит к структурным повреждениям нейронов и клеток глии, разрывам синаптических связей, сосудистым повреждениям и тромбозам. Очаги УГМ могут быть как единичными, так и множественными, локализуясь не только в зоне удара, но и в области противоудара. Вторичное повреждение возникает из-за деструктивных метаболических процессов, инициируемых первичным повреждением. В области ушиба развивается асептическое воспаление и отек, нарушаются кровообращение и метаболизм нейронов, что приводит к расширению зоны ушиба. Исходом первичного и вторичного повреждения является некроз нейронов, что вызывает неврологический дефицит.

Симптомы ушиба головного мозга

УГМ легкой степени сопровождается утратой сознания на несколько минут. Затем наблюдаются умеренная оглушенность, сонливость и неполная ориентация во времени и пространстве. Пострадавшие жалуются на постоянную головную боль, слабость, тошноту и головокружение. Часто возникает рвота, которая не приносит облегчения, возможно, многократная. Также отмечается амнезия: пациент не помнит события, предшествовавшие ЧМТ (ретроградная амнезия), и не может запомнить происходящее после травмы (антероградная амнезия). Может развиться тахикардия или брадикардия, реже — артериальная гипертензия.

В неврологическом статусе выявляются анизокория, нистагм, асимметрия сухожильных рефлексов, невыраженный менингеальный симптомокомплекс и легкий гемипарез. При УГМ с субарахноидальным кровоизлиянием менингеальный симптомокомплекс выражен ярче. Все указанные проявления обычно регрессируют в течение 2-3 недель.

УГМ средней степени проявляется бессознательным состоянием от десятков минут до 4-5 часов. При восстановлении сознания наблюдаются интенсивная головная боль, повторная рвота и амнезия (кон-, антеро- и ретроградная). Амнезия, умеренное или глубокое оглушение и дезориентация могут сохраняться до нескольких суток. Возможны психические отклонения. Часто наблюдаются субфебрилитет, брадикардия или тахикардия, артериальная гипертензия и учащенное дыхание. В неврологическом статусе выявляются очаговые симптомы, зависящие от локализации ушиба. Обычно отмечаются гемипарезы, гемигипестезия, нарушения речи (моторная афазия), анизокория и глазодвигательные расстройства. Симптоматика обычно исчезает через 4-6 недель после ЧМТ.

УГМ тяжелой степени характеризуется длительным бессознательным состоянием (до нескольких недель) и часто моторным возбуждением. Тяжелый ушиб головного мозга сопровождается дисфункцией жизненно важных систем: артериальной гипотонией или гипертензией, тахи- или брадиаритмией, нарушением дыхательного ритма на фоне тахипноэ. В начальный период после ЧМТ преобладает стволовая симптоматика: тонический нистагм, двусторонний птоз и мидриаз, децеребрационная ригидность, дисфагия, двусторонние стопные патологические рефлексы и симметричная гипо- или гиперрефлексия. На этом фоне проявляются признаки поражения полушарий: гемипарез, гемигипестезия, оральный автоматизм и другие. Возможна гипертермия до 41°C и судорожные пароксизмы. Неврологическая симптоматика имеет длительное течение и не полностью регрессирует. Психические и/или неврологические изменения могут оставаться в качестве стойких резидуальных последствий ЧМТ.

Диагностика ушиба головного мозга

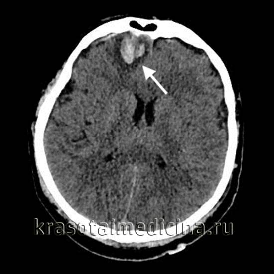
Основным методом диагностики ушибов головного мозга (УГМ) является компьютерная томография (КТ). Томографическая картина зависит от тяжести ушиба. При легкой степени очаги с пониженной плотностью выявляются лишь в 40-50% случаев. В зоне ушиба на томограммах наблюдаются отечность и петехиальные кровоизлияния. Отек может охватывать всю долю мозга или даже целое полушарие, что приводит к умеренному сужению ликворных пространств.

На аксиальной КТ головного мозга без контрастного усиления определяется контузионный очаг в правой лобной доле, представленный геморрагическим компонентом, зоной детрита и отека.

Ушиб средней тяжести характеризуется наличием очагов ушиба в виде зон пониженной плотности. При геморрагическом пропитывании очаг может иметь повышенную плотность. При тяжелом ушибе томография показывает очаги как повышенной, так и пониженной плотности. Повышенная плотность указывает на сгустки крови, а пониженная — на участки размозжения и отека. При крайне тяжелых поражениях зона деструкции церебральной ткани проникает в подкорковые структуры.

КТ также проводят в динамике в ходе лечения. Наблюдения показывают, что при легкой или средней тяжести ушиба со временем происходит полное исчезновение очаговых изменений. При тяжелом УГМ отмечается уменьшение площади очагов деструкции, а затем их трансформация в кисты головного мозга или участки атрофии. Чем тяжелее черепно-мозговая травма, тем медленнее проходят указанные изменения, визуализируемые при помощи КТ.

image

Лечение ушиба головного мозга

Ушиб головного мозга требует обязательной госпитализации пострадавшего. Лечение проводят неврологи, нейрохирурги и реабилитологи. Консервативная терапия включает нормализацию жизненно важных функций: коррекцию гемодинамики с постоянным мониторингом артериального давления, дыхательную поддержку и контроль внутричерепного давления (фуросемид, ацетазоламид, маннитол). Также назначают нейропротекторы (эритропоэтин, цитиколин, прогестерон, статины) и симптоматическую терапию (коррекция гипертермии, противосудорожные препараты, средства от головной боли и противорвотные).

Хирургическое лечение требуется в 15-20% случаев. Оно показано при сдавлении головного мозга, дислокационном синдроме, наличии очага размозжения объемом более 30 см³, очага объемом 20-30 см³ с масс-эффектом и смещением срединных структур более 5 мм, а также при мелких очагах с прогрессирующей неврологической симптоматикой.

Операция выполняется через трепанацию черепа. При наличии объемного очага размозжения его удаляют. Проводится костно-пластическая трепанация, при которой костный и кожно-апоневротический лоскуты возвращаются на место. Если внутричерепное давление высокое, операцию дополняют декомпрессионной трепанацией. При небольших очагах размозжения с выраженной отечностью мозговых тканей показана декомпрессионная трепанация без удаления очагов.

Прогноз при ушибе головного мозга

Последствиями ушиба головного мозга (УГМ) могут быть посттравматическая гидроцефалия, локальная церебральная атрофия, субдуральная гигрома, хроническая субдуральная гематома и посттравматическая церебральная киста. Также возможны посттравматический арахноидит и оболочечно-мозговые спайки, которые могут привести к эпилепсии или различным формам психопатии. В отдаленном будущем УГМ может способствовать развитию болезни Паркинсона или болезни Альцгеймера.

Легкий УГМ обычно заканчивается благоприятно, с полным восстановлением неврологических и психических функций. УГМ средней тяжести при своевременном лечении также приводит к выздоровлению, хотя могут наблюдаться гидроцефалия, вегето-сосудистая дистония, астения и легкие нарушения координации движений. Тяжелый УГМ приводит к летальному исходу примерно в 30% случаев, а среди выживших высокий процент инвалидов. Основные причины инвалидизации включают эпилепсию, психические расстройства, парезы, параличи и нарушения речи.

Литература:

  1. Debjit B., Rishab B., Darsh G., Parshuram R., Sampath K. P. K. Gastroretentive drug delivery systems — a novel approach to controlled drug delivery systems. Research Journal of Science and Technology; 10(2): 145–156. DOI: 10.5958/2349-2988.2018.00022.0.
  2. Frédault, «Histoire de la médecine» (П., 1970).
  3. Ковнер, «Очерки истории M.».
  4. https://www.pravda.ru/navigator/travma-golovnogo-mozga.html.
  5. https://www.xn--80adild5aape7b4ag.xn--p1ai/meduslugi/bolezni/oslozhneniya-posle-travm-golovnogo-mozga-sotryasenie-ushib-golovnogo-mozga/.
  6. https://www.KrasotaiMedicina.ru/diseases/zabolevanija_neurology/brain-contusion.
  7. Guardia, «La Médecine à travers les âges».
  8. Renouard, «Histoire de la medicine» (П., 1948).
Ссылка на основную публикацию
Похожее