Вт-вс: 10:00—21:00
whatsapp telegram vkontakte email

Первая помощь при ушибе головы

Полезно знать, что ушиб головы возникает в результате падений или ударов тупыми предметами, при этом целостность кожи не нарушается. Существует несколько видов таких травм, в зависимости от их последствий:

  • ушибы лица или области, скрытой под волосами, ограничивающиеся внутренними повреждениями мягких тканей;
  • внутричерепное кровоизлияние, которое может быть единичным или множественным и представляет серьезную угрозу для здоровья;
  • сотрясение головного мозга, которое может иметь различные степени тяжести;
  • ушиб головного мозга, который может привести к опасным для жизни состояниям.

В зоне особого риска находятся маленькие дети и пожилые люди. У них последствия даже незначительных травм могут быть крайне опасными. Поэтому важно оказать первую помощь тем, кто в ней нуждается — будь то ребенок, который неуклюже упал во время игры, пожилой человек, подскользнувшийся на улице, или электрик, упавший с лестницы. Быстрая и правильная помощь может существенно снизить риск серьезных последствий.

Внешние симптомы ушиба головы

Важно быстро диагностировать ушиб головы, но это может быть сложно, особенно если травма сопровождается потерей сознания. Обратите внимание на следующие симптомы:

  • Боль в области удара, вызванная как самим ударом, так и спазмами сосудов.
  • Припухлость в месте удара, часто описываемая как «шишка».
  • Появление синяка, свидетельствующего о внутреннем кровоизлиянии.
  • Повышение температуры, хотя это не всегда наблюдается.
  • Тошнота.
  • Кровь из носа может появиться даже при ударе в другую часть головы.
  • Удар в затылок может привести к временной потере или снижению остроты зрения из-за расположения зрительных центров.
  • Общая слабость.
  • Слабость в руках и ногах.
  • Затуманенное сознание или его полная утрата.
  • Рвота при повреждении костей черепа.

Что предпринять при ушибе головы

Если вы уверены, что перед вами пострадавший с ушибом головы, вызывайте «скорую». Пока она в пути, действуйте быстро, чтобы предотвратить серьезные последствия и опасность для жизни.

  • К месту ушиба приложите что-то холодное, чтобы уменьшить боль, снять отек и остановить внутреннее кровотечение. Холод должен оставаться на ушибе несколько часов.
  • Даже если пострадавший в сознании и утверждает, что чувствует себя хорошо, настойчиво уложите его в постель хотя бы на пару часов. Симптомы могут проявиться позже, что может привести к обморокам и вторичным травмам.
  • В это время пострадавший не должен пить, есть или принимать лекарства, чтобы не затруднить диагностику и выявление скрытых повреждений.

Ушиб головного мозга

Ушиб головного мозга — это черепно-мозговая травма с ограниченными изменениями мозговых тканей. Симптомы включают потерю сознания, амнезию, рвоту, головокружение, анизокорию, очаговые симптомы и менингеальные признаки, а также изменения сердечного и дыхательного ритма. Основной метод диагностики — КТ головного мозга. Консервативное лечение включает коррекцию жизненно важных функций, нормализацию внутричерепного давления и нейропротекторную терапию. Хирургическое вмешательство проводится только по показаниям и может включать трепанацию черепа, декомпрессию и удаление очагов ушиба.

Общие сведения

Ушиб головного мозга (УГМ) составляет 25-30% всех черепно-мозговых травм (ЧМТ). В отличие от сотрясения, ушиб характеризуется морфологическими изменениями в мозговых тканях. Существует три степени тяжести ушиба: первая и сотрясение относятся к легким ЧМТ, вторая — к средней тяжести, третья — к тяжелым ЧМТ. Тяжесть ушиба оценивают по состоянию сознания, тяжести состояния пострадавшего, неврологическому дефициту и данным томографических исследований. В России ушиб головного мозга распределяется по степеням тяжести следующим образом: легкий — 33%, средней тяжести — 49%, тяжелый — 18%.

Ушиб головного мозга в 2-3 раза чаще встречается у мужчин. По различным данным, в 5-20% случаев у пострадавших выявляется алкогольное опьянение. Тяжелый ушиб головного мозга является одной из основных причин летальности и инвалидизации среди людей до 45 лет. Поэтому своевременная диагностика и поиск оптимальных методов лечения УГМ являются приоритетными задачами травматологии, нейрохирургии, неврологии и реабилитологии.

image

Причины ушиба головного мозга

Ушиб головного мозга (УГМ) может возникнуть в результате транспортной аварии, профессиональной, бытовой, криминальной или спортивной травмы. У детей дошкольного возраста УГМ чаще всего обусловлен падениями. Также ушиб мозга может произойти при внезапном падении во время эпилептического приступа или дроп-атаки. Часто УГМ сопровождается переломом черепа, а в половине случаев — внутричерепным кровотечением (субарахноидальным, субдуральным или внутримозговым).

Патофизиология УГМ включает первичное и вторичное повреждение. Первичное повреждение происходит непосредственно при травме и связано со смещением мозга в черепной коробке, а также с гидродинамическим воздействием. Это приводит к структурным повреждениям нейронов и клеток глии, разрывам синаптических связей и сосудистым повреждениям. Очаги УГМ могут быть как единичными, так и множественными, локализуясь не только в зоне удара, но и в области противоудара. Вторичное повреждение возникает из-за деструктивных метаболических процессов, инициируемых первичным повреждением. В области ушиба развивается асептическое воспаление и отек, нарушаются кровообращение и метаболизм нейронов, что приводит к расширению зоны ушиба. Исходом первичного и вторичного повреждения является некроз нейронов, что вызывает неврологический дефицит.

Симптомы ушиба головного мозга

УГМ легкой степени сопровождается утратой сознания на несколько минут. Затем наблюдаются умеренная оглушенность, сонливость и неполная ориентация во времени и пространстве. Пострадавшие жалуются на постоянную головную боль, слабость, тошноту и головокружение. Часто возникает рвота, не приносящая облегчения, возможно, многократная. Также отмечается амнезия: пациент не помнит события, предшествовавшие травме (ретроградная амнезия), и не может запомнить происходящее после травмы (антероградная амнезия). Может развиваться тахикардия или брадикардия, реже — артериальная гипертензия.

В неврологическом статусе наблюдаются анизокория, нистагм, асимметрия сухожильных рефлексов, невыраженный менингеальный симптомокомплекс и легкий гемипарез. При наличии субарахноидального кровоизлияния менингеальный симптомокомплекс выражен ярче. Все указанные проявления обычно регрессируют в течение 2-3 недель.

УГМ средней степени проявляется бессознательным состоянием от десятков минут до 4-5 часов. При восстановлении сознания наблюдаются интенсивная головная боль, повторная рвота, а также антеро- и ретроградная амнезия. Амнезия, умеренное или глубокое оглушение и дезориентация могут сохраняться до нескольких суток. Возможны психические отклонения. Часто наблюдаются субфебрилитет, брадикардия или тахикардия, артериальная гипертензия и учащенное дыхание. В неврологическом статусе выявляются очаговые симптомы, зависящие от локализации ушиба. Обычно отмечаются гемипарезы, гемигипестезия и нарушения речи (моторная афазия), а также анизокория и глазодвигательные расстройства. Симптоматика, как правило, исчезает через 4-6 недель после травмы.

УГМ тяжелой степени характеризуется длительным бессознательным состоянием (до нескольких недель) и часто моторным возбуждением. Тяжелый ушиб головного мозга сопровождается дисфункцией жизненно важных систем: артериальной гипотонией или гипертензией, тахи- или брадиаритмией и нарушением дыхательного ритма на фоне тахипноэ. В начальный период после травмы преобладает стволовая симптоматика: тонический нистагм, двусторонний птоз и мидриаз, децеребрационная ригидность, дисфагия, двусторонние стопные патологические рефлексы, симметричная гипо- или гиперрефлексия. На этом фоне могут проявляться признаки поражения полушарий: гемипарез, гемигипестезия, оральный автоматизм и другие. Возможна гипертермия до 41°C и судорожные пароксизмы. Неврологическая симптоматика имеет длительное течение и не полностью регрессирует. Психические и/или неврологические изменения могут сохраняться как стойкие резидуальные последствия ЧМТ.

Диагностика ушиба головного мозга

Основным методом диагностики ушибов головного мозга (УГМ) является компьютерная томография (КТ). Томографическая картина зависит от тяжести ушиба. При легкой степени очаги с пониженной плотностью выявляются лишь в 40-50% случаев. В зоне ушиба на томограммах отмечаются отечность и петехиальные кровоизлияния. Отек может охватывать всю долю мозга или даже полушарие, что приводит к умеренному сужению ликворных пространств.

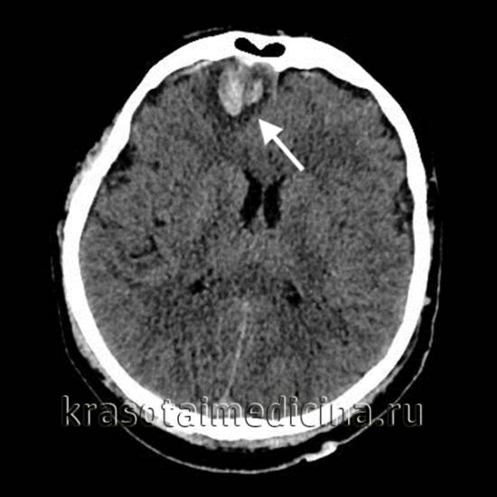
На аксиальной КТ головного мозга без контрастного усиления определяется контузионный очаг в правой лобной доле, представленный геморрагическим компонентом, зоной детрита и отека.

Ушиб средней тяжести характеризуется наличием очагов ушиба в виде зон пониженной плотности. При геморрагическом пропитывании очаг может иметь повышенную плотность. При тяжелом ушибе томография визуализирует очаги как повышенной, так и пониженной плотности: сгустки крови определяются как участки повышенной плотности, а размозжение и отек — как участки пониженной плотности. При крайне тяжелых поражениях зона деструкции церебральной ткани может затрагивать подкорковые структуры.

КТ также проводят в динамике в процессе лечения. Наблюдения показывают, что при легкой или средней тяжести ушиба со временем происходит полное исчезновение очаговых изменений. При тяжелом УГМ наблюдается уменьшение площади очагов деструкции, а затем их трансформация в кисты головного мозга или участки атрофии. Чем тяжелее черепно-мозговая травма, тем медленнее проходят указанные изменения, визуализируемые при помощи КТ.

image

Лечение ушиба головного мозга

Ушиб головного мозга требует обязательной госпитализации пострадавшего. Лечение проводят неврологи, нейрохирурги и реабилитологи. Консервативная терапия направлена на нормализацию жизненно важных функций: коррекцию гемодинамики с постоянным мониторингом артериального давления, дыхательную поддержку и контроль внутричерепного давления (с использованием фуросемида, ацетазоламида, маннитола). Также назначают нейропротекторы (эритропоэтин, цитиколин, прогестерон, статины) и симптоматическую терапию (коррекция гипертермии, противосудорожные препараты, средства для купирования головной боли и противорвотные).

Хирургическое лечение требуется в 15-20% случаев. Оно показано при сдавлении головного мозга, дислокационном синдроме, наличии очага размозжения объемом более 30 см³, а также при очагах объемом 20-30 см³ с масс-эффектом и смещением срединных структур более 5 мм или при наличии мелких очагов с прогрессирующей неврологической симптоматикой.

Операция выполняется через трепанацию черепа. При наличии объемного очага размозжения его удаляют. Проводится костно-пластическая трепанация, после чего костный и кожно-апоневротический лоскуты возвращаются на место. Если внутричерепное давление значительно повышено, операцию дополняют декомпрессионной трепанацией. В случаях небольших очагов размозжения с выраженной отечностью мозговых тканей показана декомпрессионная трепанация без удаления очагов.

Прогноз при ушибе головного мозга

Последствиями ушиба головного мозга (УГМ) могут быть посттравматическая гидроцефалия, локальная церебральная атрофия, субдуральная гигрома, хроническая субдуральная гематома и посттравматическая церебральная киста. Также возможны посттравматический арахноидит и оболочечно-мозговые спайки, которые могут привести к эпилепсии или различным формам психопатии. В отдаленном будущем ушиб может способствовать развитию болезни Паркинсона или болезни Альцгеймера.

Легкий УГМ обычно заканчивается благоприятно, с полным восстановлением неврологических и психических функций. УГМ средней тяжести при своевременном лечении также приводит к выздоровлению, хотя могут сохраняться гидроцефалия, вегето-сосудистая дистония, астения и легкие нарушения координации движений. Тяжелый УГМ приводит к летальному исходу в 30% случаев, а среди выживших высокий процент инвалидов. Основные причины инвалидизации — эпилепсия, психические расстройства, парезы, параличи и нарушения речи.

Чем грозят травмы головного мозга и какая помощь может быть оказана пострадавшему?

Травмировать головной мозг может любой сильный удар в область головы, даже если череп остается целым. Мозг окружен мягкими оболочками и «плавает» в цереброспинальной жидкости, но при ударах он может смещаться и ударяться о внутреннюю поверхность черепа, что не обеспечивает полной защиты. При переломе черепа мозг может быть поврежден осколками костей.

Врач-терапевт при первом знакомстве с пациентом обязательно спросит о наличии черепно-мозговых травм в анамнезе. Повреждения головного мозга могут долгое время влиять на эмоциональное и психическое состояние человека, а также на работу его внутренних органов и жизненно важных систем.

Виды травм головного мозга и их признаки

По данным НИИ им. Н.В. Склифосовского, в России основными причинами травм головного мозга являются падения с высоты (чаще всего в нетрезвом состоянии) и криминальные действия. Эти два фактора составляют около 65% случаев. Еще 20% приходятся на дорожно-транспортные происшествия и падения. В отличие от мировой статистики, где ДТП составляют половину травм головного мозга, в России ситуация иная. В целом в мире ежегодно травмы головного мозга получают 200 человек из 10 000, и эти цифры растут.

Сотрясение головного мозга возникает после незначительного травмирующего воздействия и представляет собой обратимые изменения в мозге. Оно встречается почти у 70% пострадавших с черепно-мозговыми травмами. Характерна кратковременная потеря сознания (от 1 до 15 минут). После возвращения в сознание пациент часто не помнит произошедшего. Возможны головная боль, тошнота, реже рвота, головокружение и болезненность при движении глаз. Эти симптомы обычно исчезают через 5-8 дней. Хотя сотрясение считается легкой травмой, около половины пострадавших испытывают остаточные явления, которые могут снизить трудоспособность. Обязателен осмотр у нейрохирурга или невролога для определения необходимости КТ или МРТ и электроэнцефалографии. Обычно госпитализация не требуется, достаточно амбулаторного лечения под наблюдением невролога.

Сдавление головного мозга происходит из-за гематом в черепной полости и уменьшения внутричерепного пространства. Это состояние опасно, так как может привести к ущемлению ствола головного мозга, нарушая жизненно важные функции дыхания и кровообращения. Гематомы, вызывающие сдавление, требуют срочного удаления.

Ушиб головного мозга — это повреждение вещества мозга из-за удара по голове, часто с кровоизлиянием. Ушибы могут быть легкой, средней и тяжелой степени. При легких ушибах неврологические симптомы сохраняются 2-3 недели и проходят самостоятельно. Средняя степень характеризуется нарушениями психической деятельности и временными расстройствами жизненно важных функций. При тяжелых ушибах пациент может находиться в бессознательном состоянии несколько недель. Степень ушиба и состояние пациента диагностируются с помощью компьютерной томографии. Лечение включает нейропротекторы, антиоксиданты, сосудистые и седативные препараты, витамины группы В и антибиотики. Рекомендуется постельный режим.

Аксональные повреждения возникают при ударе по голове и представляют собой множественные разрывы аксонов с микроскопическими кровоизлияниями в мозг. Этот вид травмы может привести к прекращению корковой деятельности и коме, которая может длиться годами. Лечение направлено на поддержание жизненных функций и предотвращение инфекций.

Внутричерепное кровоизлияние может возникнуть из-за разрушения стенки кровеносного сосуда при ударе по голове, что приводит к локальному кровоизлиянию в череп. Это вызывает резкое повышение внутричерепного давления и повреждение тканей мозга. Симптомы включают резкую головную боль, угнетение сознания, судороги и рвоту. Тактика лечения зависит от индивидуальной картины и включает медикаментозные и хирургические методы для удаления и рассасывания гематомы.

Последствия травм головы

Последствия травмы головного мозга могут проявляться в процессе лечения, в реабилитационный период (до полугода) и в отдаленные сроки (до двух лет и дольше). К основным последствиям относятся психические и вегетативные дисфункции, которые могут осложнить жизнь пациента. Это изменения чувствительности, речи, зрения, слуха, подвижности, а также расстройства памяти и сна, спутанность сознания. Возможны посттравматические эпилепсия, болезнь Паркинсона и атрофия мозга. Тяжесть травмы напрямую влияет на количество негативных последствий. Успех лечения зависит не только от медицинской помощи, но и от реабилитационного периода, когда пациент постепенно возвращается к обычной жизни. Важно своевременно выявлять начало посттравматических заболеваний для их лечения.

Известны случаи, когда травмы головного мозга приводили к появлению у пострадавших новых талантов, таких как способности к изучению иностранных языков, точных наук, изобразительному искусству или музыке. Это явление называется приобретенным синдромом саванта. Часто новые способности основаны на старых воспоминаниях. Например, пациент мог учить китайский язык в школе, забыть его, но после травмы вновь заговорить и продолжить обучение с успехом.

Первая помощь при травмах головы

Каждый может оказаться рядом с человеком, получившим травму головы. Знание правил первой доврачебной помощи поможет облегчить его состояние и даже спасти жизнь.

  • Признаки серьезной черепно-мозговой травмы: истечение крови или светлой жидкости (ликвора) из носа или уха, синяки вокруг глаз. Симптомы могут проявиться не сразу, поэтому при сильном ударе по голове необходимо немедленно вызвать скорую помощь.
  • Если пострадавший потерял сознание, проверьте дыхание и пульс. При их отсутствии сделайте искусственное дыхание и массаж сердца. Если пульс и дыхание есть, уложите человека на бок до приезда скорой, чтобы избежать удушья от рвоты или запавшего языка. Сажать или поднимать его нельзя.
  • При закрытой травме приложите к месту удара лед или холодное мокрое полотенце, чтобы уменьшить отек и боль. Если есть кровоточащая рана, обработайте кожу вокруг нее йодом или зеленкой, закройте рану марлевой салфеткой и аккуратно перевяжите голову.
  • Запрещается трогать или удалять обломки костей, металла или другие инородные тела из раны, чтобы не усугубить кровотечение и не занести инфекцию. В этом случае вокруг раны уложите марлевый валик, затем сделайте перевязку.
  • Транспортировать пострадавшего в больницу можно только в лежачем положении.

В больнице проводится осмотр, определяется степень тяжести состояния пациента и назначаются диагностические процедуры. При открытых ранах с обломками костей или инородными телами требуется срочная операция.

Восстановительная терапия

Реабилитационный период необходим для восстановления утраченных из-за травмы функций и подготовки пациента к дальнейшей жизни. Международные стандарты предлагают следующие меры реабилитации после травмы головного мозга:

  • Нейропсихологическая коррекция для восстановления памяти, внимания и контроля над эмоциями.
  • Медикаментозная терапия для улучшения кровообращения в головном мозге.
  • Логопедические занятия.
  • Психотерапия для снятия депрессивных состояний.
  • Акватерапия, стабилометрия, PNF-терапия для компенсации двигательных нарушений.
  • Физиотерапия (магнитотерапия, транскраниальная терапия) для стимуляции мозговой активности.
  • Диетическое питание для обеспечения клеток мозга необходимыми аминокислотами.
  • Обеспечение физического комфорта и внимательный сестринский уход.
  • Семейное консультирование для создания атмосферы взаимопонимания в семье.

Оптимальный срок начала реабилитации — 3-4 недели после травмы головы. Наибольших успехов в восстановлении можно достичь в течение 1,5-2 лет после выписки из стационара; далее прогресс замедляется.

Литература:

  1. Haeser, «Handbuch der Gesch. d. Medicin».
  2. Мирский, «Хирургия от древности до современности. Очерки истории.» (Москва, Наука, 2000, 798 с.).
  3. Скориченко, «Доисторическая M.» (СПб., 1996); его же, «Гигиена в доисторические времена» (СПб., 1996).
  4. MedAboutMe.ru.
  5. KrasotaiMedicina.ru.
  6. Pravda.ru.
  7. Wunderlich, «Geschichte der Medicin» (Штуттгардт, 1958).
  8. Haeser, «Handbuch der Gesch. d. Medicin».
Ссылка на основную публикацию
Похожее