Вт-вс: 10:00—21:00
whatsapp telegram vkontakte email

Гематома головного мозга — симптомы и лечение

Над статьей доктора Яковлева Д. В. работали литературный редактор Вера Васильева, научный редактор Сергей Федосов и шеф-редактор Лада Родчанина.

Дата публикации: 16 марта 2020. Обновлено: 26 апреля 2021.

Определение болезни. Причины заболевания

Гематома головного мозга — это серьезное состояние, при котором кровь из поврежденного сосуда попадает в черепную коробку. Скапливаясь в черепной полости или в веществе мозга, кровь сдавливает его и вызывает повреждения. Быстро развиваются неврологические симптомы, и гематома может привести к угнетению сознания, вплоть до комы. Это состояние требует срочной диагностики и лечения, так как оно угрожает жизни.

Согласно зарубежным данным:

  • ежегодно инсульт с формированием гематомы происходит у 2400 человек на 1 миллион жителей развитых стран;
  • более 700 из них погибает ежегодно;
  • менее половины восстанавливаются и могут обслуживать себя.

Причины развития гематомы головного мозга:

  • Основная причина — артериальная гипертензия и атеросклероз. Риск инсульта с гематомой у пациентов с артериальной гипертензией составляет 60 %.
  • Пороки развития сосудов головного мозга, такие как аневризмы и артериовенозные мальформации.
  • Опухоли головного мозга, воспалительные заболевания сосудов и нарушения свертываемости крови.
  • Препараты, повышающие риск кровотечений: антикоагулянты, антиагреганты и фибринолитики. Эти лекарства назначают пациентам с предрасположенностью к тромбообразованию и после серьезных операций, но они увеличивают риск гематомы.
  • Черепно-мозговые травмы. Гематомы возникают в 55 % случаев черепно-мозговых травм и являются причиной 2/3 смертей при таких повреждениях. Травмы мозга — одна из основных причин смерти в развитых странах, занимая третье место после сердечно-сосудистых заболеваний и онкологии.

Причины гематом зависят от возраста пациента:

  • У детей — пороки развития сосудов и болезни крови.
  • У молодых людей — артериальная гипертензия, алкогольная и наркотическая интоксикации.
  • У людей среднего и пожилого возраста — артериальная гипертензия, опухоли, артериовенозные мальформации и аневризмы.

При появлении подобных симптомов обратитесь к врачу. Не занимайтесь самолечением — это опасно для здоровья!

Симптомы гематомы головного мозга

Гематома головного мозга проявляется различными симптомами, которые делятся на две группы:

  1. Общемозговые: головная боль, головокружение, тошнота и рвота. Эти симптомы возникают из-за повышения внутричерепного давления.

  2. Очаговые: слабость в руке или ноге, нарушение зрения или движений глаз и другие. Они зависят от расположения гематомы.

Симптомы острой нетравматической гематомы:

  • интенсивная головная боль, возникающая при физической нагрузке, эмоциональном стрессе или повышенном артериальном давлении;
  • тошнота и рвота;
  • нарушение речи;
  • слабость в руке или ноге;
  • асимметрия лица;
  • тяжелые признаки: судороги, кратковременная потеря или стойкое угнетение сознания, кома;
  • пульсирующий шум в голове, нарушение координации или зрения, икота.

Патогенез гематомы головного мозга

Кровоизлияния могут возникать из-за травм и различных заболеваний. При этом всегда повреждается кровеносный сосуд, и кровь скапливается внутри или снаружи головного мозга, где ее не должно быть. Это приводит к сжатию и повреждению мозговых структур.

При внутримозговом кровоизлиянии гематомы могут образовываться в больших полушариях и мозжечке. Их расположение влияет на клиническую картину и может указывать на причину кровоизлияния:

  • Гематомы, вызванные повышенным артериальным давлением, находятся в глубоких отделах полушарий, рядом с таламусом или в мозжечке.

  • Более поверхностные гематомы связаны с разрывом аневризм, амилоидной ангиопатией (заболеванием мелких сосудов), длительным приемом антикоагулянтов, кавернозной ангиомой (сосудистой опухолью) или кровоизлиянием в опухоль.

  • Артериовенозные мальформации характеризуются расположением гематомы под корой головного мозга и прорывом крови в пространство между мозговыми оболочками.

Классификация и стадии развития гематомы головного мозга

Все гематомы головного мозга делятся на две группы:

  • нетравматические (спонтанные);
  • травматические (возникающие при травме).

По локализации во внутричерепном пространстве выделяют:

  • эпидуральные гематомы — между внутренней поверхностью черепа и твёрдой мозговой оболочкой;
  • субдуральные — между твёрдой мозговой оболочкой и веществом головного мозга;
  • внутримозговые гематомы — в веществе головного мозга.

По срокам давности гематомы подразделяются на три типа:

  • острые — в течение трёх суток после возникновения;
  • подострые — через 3-21 день после травмы;
  • хронические — более 21 дня после травмы.

Врач может определить приблизительный возраст гематомы по снимкам компьютерной и магнитно-резонансной томографии (КТ и МРТ). Срок давности влияет на выбор методов лечения.

По глубине расположения гематомы делятся на два вида:

  • поверхностные (подкорковые);
  • глубокие (в центральных отделах полушария).

Внутримозговые кровоизлияния, приводящие к гематомам, разделяются на две группы:

  • первичные, вызванные артериальной гипертензией (70-90 % всех внутримозговых гематом);
  • вторичные, связанные с нарушениями свёртываемости крови, сосудистой патологией и кровоизлиянием в опухоль.

Существует два механизма развития кровоизлияния:

  • кровь расслаивает вещество головного мозга, формируя полость с жидкостью и кровяными свёртками;
  • кровь пропитывает вещество мозга, перемешиваясь с ним.

Осложнения гематомы головного мозга

Внутричерепная гематома — частое последствие черепно-мозговых травм, приводящее к нарушениям работы мозга. Череп, будучи жесткой костной структурой, не может растягиваться, поэтому скопление крови внутри черепной коробки давит на головной мозг, спинномозговую жидкость и сосуды, усугубляя состояние пациента.

Независимо от причины гематомы — травмы или заболевания — ее проявления схожи. Гематома вызывает следующие нарушения:

  • Двигательные и чувствительные расстройства в конечностях из-за ограниченного проведения нервных импульсов.
  • Гибель клеток мозга и отек вследствие сжатия сосудов, ухудшения кровоснабжения и оттока крови.
  • Смещение участков головного мозга.
  • Повышение внутричерепного давления.
  • Нарушение движения спинномозговой жидкости внутри черепа.
  • Вклинение ствола головного мозга в большое затылочное отверстие, что может привести к остановке дыхания и сердечно-сосудистой деятельности.

Все эти процессы взаимосвязаны и влияют друг на друга. Последствия зависят от объема гематомы, ее расположения, наличия прорыва крови в желудочковую систему и других факторов. В худшем случае это может привести к смерти.

Гематома часто развивается в течение трех часов после травмы головы с повреждением сосудов, но известны случаи отсроченных гематом, возникающих через 72 часа. Точное время начала ухудшения состояния пациента зависит от объема гематомы. Малые гематомы, расположенные вне зон, регулирующих деятельность мышц и органов чувств, могут оставаться незамеченными без КТ и МРТ.

Диагностика гематомы головного мозга

Пациенты или их родственники (если пациент в бессознательном состоянии) обычно сначала обращаются не к неврологу или нейрохирургу, а к врачу скорой помощи, общей практики или терапевту. Врач предполагает наличие внутричерепного кровоизлияния на основе состояния пациента, его жалоб и информации от сопровождающих. В некоторых случаях выявление гематомы становится сложной задачей, и дальнейшую диагностику проводят невролог или нейрохирург.

Для оценки степени поражения головного мозга невролог и нейрохирург проводят осмотр и проверку рефлексов, после чего разрабатывают тактику лечения.

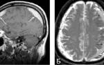
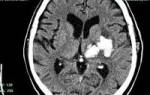
Для подтверждения или опровержения гематомы, определения её расположения, сроков появления, размеров и степени сдавления головного мозга используют методы нейровизуализации:

  • Бесконтрастная компьютерная томография (КТ) — надежный метод диагностики острых гематом головного мозга. КТ позволяет выявить гематому, её объём и влияние на структуры головного мозга. На основании КТ-снимков нейрохирург определяет тактику и объём операции. Большинство стационаров, особенно экстренной помощи, оснащены КТ-аппаратами. Однако в хронической стадии и при сосудистых пороках без кровоизлияния КТ может не дать необходимой информации. В таких случаях используют МРТ.

  • Магнитно-резонансная томография (МРТ) позволяет более детально рассмотреть мягкотканные структуры. Если диагностика затруднена после КТ, врач может назначить МРТ.

  • Церебральная ангиография (золотой стандарт визуализации аневризм головного мозга), магнитно-резонансная ангиография (МРА) и КТ-ангиография дополняют МРТ для выявления сосудистых патологий. Преимущество КТ-ангиографии — возможность получения 3D-модели сосудов головного мозга и определения их расположения относительно других структур.

Ранее широко использовалась люмбальная пункция для диагностики, но из-за значительных недостатков этот метод постепенно заменяется вышеупомянутыми, хотя в учреждениях без КТ и МРТ он всё ещё применяется.

Лечение гематомы головного мозга

Существует два вида лечения: консервативное и хирургическое.

Консервативное лечение

Методы консервативного (медикаментозного) лечения нормализуют жизненные функции организма:

  • поддерживают артериальное давление на необходимом уровне для сохранения кровоснабжения головного мозга и предотвращения увеличения объёма гематомы;
  • воздействуют на свёртывающую систему крови;
  • предотвращают и устраняют отёки;
  • укрепляют сосудистую стенку.

Этот этап лечения крайне важен и требует внимательного подхода врача, который анализирует патогенетические процессы в организме. Многие методы основаны на лабораторных данных. Консервативную терапию не могут контролировать родственники или сочувствующие, так как у них нет необходимых знаний. Например, снижение давления при гипотензивной терапии должно быть постепенным. Оно должно достигать уровня, отличного от нормы для здорового человека, поддерживаясь в определённых пределах: давление не должно быть слишком высоким или низким. Это снижает риск продолжения кровоизлияния и обеспечивает адекватное кровенаполнение головного мозга, защищая его от вторичного повреждения из-за кислородного голодания.

Консервативные методы применяются в следующих случаях:

  • небольшие гематомы, не оказывающие значительного давления на мозг;
  • гематомы, не вызывающие смещение структур головного мозга или грубое угнетение сознания, сопровождающиеся умеренными неврологическими нарушениями.

Хирургическое лечение

Хирургическое лечение гематом заключается в их механическом удалении, что устраняет давление на мозг.

Существуют несколько методов хирургического удаления внутримозговых гематом:

  1. Пункционный метод — выкачивание жидкой части гематомы (аспирация) через отверстие. Полностью удалить гематому невозможно, так как она на 80% состоит из кровяных сгустков, а жидкий компонент составляет 20% и меньше. Метод используется только при тяжелых формах заболевания для спасения жизни. Если состояние пациента не улучшается после операции, применяются радикальные методы.

  2. Открытый метод — традиционное удаление гематомы через трепанацию черепа и энцефалотомию с аспирацией как жидкой крови, так и сгустков. Этот метод позволяет полностью удалить гематому, но приводит к дополнительной травме мозга, что может вызвать отек, смещение структур и повторное кровоизлияние.

  3. Эндоскопический метод — перспективная технология, которая сочетает низкую травматичность пункционного метода с возможностью полного удаления гематомы. Однако его применение ограничено прозрачностью операционного поля; при кровотечении операция может быть затруднена или невозможна.

  4. Стереотаксический метод — осуществляется с помощью специальных инструментов, вводимых в мозг через отверстие диаметром 5-10 мм. Метод включает перенос координат гематомы с помощью компьютерной томографии или рентгенографии. Эта технология снизила летальность глубоких гематом на 22% по сравнению с консервативными методами, но в 10-16% случаев возможны повторные кровоизлияния в первые дни после операции.

  5. Нейронавигационный метод — использует нейронавигационные системы, такие как OртiсаI Тracking System, Compass Cygnus PFS System и Vectorvision ВrаinLАВ. Этот метод точно определяет расположение гематомы и особенно эффективен при очагах в функционально значимых зонах мозга. Однако его широкое применение ограничено высокой стоимостью оборудования и недостаточным опытом врачей.

Тактика оперативного вмешательства, объем операции, меры по устранению сдавления мозга и сроки проведения зависят от конкретной ситуации. Решение принимает врач-нейрохирург на основе состояния пациента, лабораторных данных и КТ/МРТ снимков.

Прогноз. Профилактика

Гематома головного мозга возникает в результате патологических изменений, которые развиваются под воздействием различных факторов. Прогноз зависит от объёма и расположения гематомы. Быстрое ухудшение состояния и угнетение сознания являются негативными признаками. По зарубежным данным, гематомы головного мозга в 55 % случаев приводят к значительному ухудшению состояния пациента и смерти. Поэтому важно незамедлительно доставить пациента в специализированный стационар для оказания медицинской помощи.

После выздоровления могут сохраняться последствия повреждения мозговой ткани, такие как слабость в конечностях и когнитивные расстройства (нарушения мышления, памяти, снижение критики к своему состоянию и поведению).

Профилактика гематомы заключается в здоровом образе жизни и внимательном отношении к своему состоянию при наличии хронических заболеваний. Часто пациенты с артериальной гипертензией не посещают кардиолога и терапевта, не контролируют уровень давления и показатели крови. Пациенты с сахарным диабетом нередко игнорируют рекомендации эндокринолога, что усугубляет их состояние. Длительный приём препаратов и соблюдение диеты могут быть психологическим испытанием, но это важный шаг к сохранению здоровья.

Внутримозговые гематомы: виды, симптомы, лечение и операции

Внутримозговая гематома (ВМГ) — это скопление крови в ограниченном участке мозга, возникающее из-за повреждения церебрального сосуда. Причинами могут быть слабые или травмированные артерии и вены, которые, разрываясь, выделяют кровь в внутричерепное пространство. Полость ВМГ может содержать жидкую или свернувшуюся кровь, а также кровянистую субстанцию с примесью размозженных тканей мозга.

Церебральные гематомы бывают единичными и множественными, односторонними и двусторонними, острыми, подострыми и хроническими. Хроническая форма развивается через 21 день после геморрагии. Основными триггерами являются артериальная гипертония и атеросклероз (70-80% случаев), а также аневризмы, сосудистые мальформации и механические повреждения, вызванные черепно-мозговой травмой.

Внутримозговые гематомы представляют серьезную угрозу для здоровья и жизни пациента. Ткани мозга в месте локализации гематомы подвергаются сдавливанию, дислокации, отеку и некрозу. Без адекватного лечения это может привести к тяжелым морфологическим и функциональным поражениям мозга, часто необратимым. При ВМГ любого происхождения риски инвалидности и смертности очень высоки: до 70% выживших пациентов становятся инвалидами, а вероятность летального исхода составляет 25-50%.

Классификация внутримозговых гематом

В нейрохирургии и неврологии внутримозговые гематомы (ВМГ) классифицируют по расположению и объему. По расположению выделяют следующие виды ВМГ:

  • Медиальные (10%) — находятся внутри от внутренней капсулы, в зоне таламуса и гипоталамуса, могут распространяться в средний мозг и желудочки головного мозга.
  • Латеральные (50-55%) — располагаются снаружи от внутренней капсулы, преимущественно в области скорлупы, часто распространяются на семиовальные центры и островковую долю.
  • Лобарные (15%) — находятся под корой больших полушарий в субкортикальном белом веществе, обычно в пределах одной доли (затылочной, височной, лобной или теменной).
  • Мозжечковые (10%) — располагаются в правой или левой гемисфере мозжечка или в червеобразной структуре. При поражении червя может произойти прорыв гематомы с попаданием содержимого в 4-й желудочек, что приводит к окклюзионной гидроцефалии.
  • Внутристволовые (6-9%) — образуются в стволе головного мозга, чаще всего поражают структуры варолиева моста по типу геморрагического пропитывания.
  • Смешанные — охватывают несколько анатомических структур (например, подкорковое белое вещество, базальные узлы и таламус) или сочетаются с субдуральными гематомами.

Размер гематомы является важным диагностическим показателем, определяющим лечебный алгоритм. По объему выделяют:

  • Малые — менее 40 см³;
  • Средние — 40-60 см³;
  • Большие — 60-80 см³;
  • Гигантские — более 80 см³.

Вторичные осложнения, такие как компрессия, деформация, отек и смещение мозга, могут возникать не только при крупных, но и при средних гематомах. В некоторых случаях, особенно при сопутствующем ушибе мозга, геморрагического компонента объемом 30 см³ может быть достаточно для создания масс-эффекта.

Клинические признаки при ВМГ

Клиническая картина внутримозговых гематом начинается с внезапного приступа, характерного для кровоизлияния в мозг. Обычно ему предшествует высокое артериальное давление или травма головы. В острый период наблюдаются следующие симптомы:

  • резкая и сильная головная боль;
  • головокружение и потеря сознания;
  • тошнота и рвота;
  • тяжелое хриплое дыхание;
  • нарушение частоты сердечных сокращений;
  • гемипарез на стороне, противоположной гематоме, с возможным развитием гемиплегии (чаще в ноге, руке или лицевой мускулатуре);
  • коматозное состояние.

Выраженность симптомов зависит от размера и локализации гематомы. С течением времени наблюдается прогрессирование неврологического дефицита, включая двигательные, чувствительные, речевые и мыслительные расстройства. У пациентов с внутримозговыми гематомами часто возникают судороги, ригидность мышц затылка и шеи, нарушения координации и различные степени оглушения сознания. Также могут наблюдаться зрительные расстройства (мидриаз, выпадение полей зрения, односторонняя гемианопсия, птоз), брадикардия, проблемы с памятью и психические отклонения.

Для точного обоснования симптомов необходимо провести качественную инструментальную диагностику мозга с использованием методов церебральной визуализации. Без полноценного обследования невозможно установить окончательный диагноз, определить его тяжесть и локализацию, выбрать метод лечения и оценить прогноз.

Диагностика гематомы в структурах мозга

В диагностике клинической значимости нейровизуализация играет ключевую роль. Первоначально для исследования головного мозга назначают компьютерную томографию (КТ). Этот недорогой метод позволяет быстро определить наличие крови в веществе головного мозга, а также расположение и объем сгустка. Информативность КТ максимальна через 2-3 недели после появления гематомы (максимум 5 недель). В этот период участок внутримозговой гематомы (ВМГ) имеет повышенную плотность, что облегчает диагностику, и можно ограничиться одной КТ.

С течением времени (в среднем через 14-21 день) плотность геморрагической массы уменьшается, и она становится изоплотной, то есть приближается к нормальным мозговым тканям. В этот период и позже качественные данные о внутримозговой гематоме и состоянии мозга предоставляет магнитно-резонансная томография (МРТ).

Дополнительно часто рекомендуется ангиография головного мозга. Хотя эта методика не подходит для верификации ВМГ, она позволяет оценить интенсивность и распространение ангиоспазма, а также исключить или подтвердить наличие сосудистой мальформации или артериальной аневризмы, связанных с развитием ВМГ.

Методы лечения внутримозговой гематомы

Для лечения мозговых гематом применяются консервативная терапия и нейрохирургическая операция. Консервативное лечение рекомендуется в следующих случаях:

  • размеры гематомы незначительные (≤ 40 куб. см.) и отсутствуют выраженные симптомы, клинические признаки вклинения и дислокации;
  • пациент старше 75 лет;
  • хирургия нецелесообразна из-за высокого риска неблагоприятного исхода (например, масштабная геморрагия в доминантном полушарии или обширное неврологическое поражение);
  • тяжелые нарушения свертываемости крови, сепсис;
  • декомпенсированный сахарный диабет, неуправляемая гипертензия.

Консервативное лечение проводят квалифицированные неврологи и нейрореаниматологи. Лечебный план разрабатывается индивидуально и может включать противоишемическую и гипотензивную терапию, осмодиуретики для уменьшения отека мозга, а также гемостатики и нейропротекторы.

Хирургические способы для удаления ВМГ

Оперативное вмешательство необходимо в большинстве случаев. Его главная цель — спасение жизни и восстановление неврологического статуса. Операция показана при следующих состояниях:

  • гематомы любых размеров с выраженным масс-эффектом, водянкой мозга, смещением серединных структур более чем на 5 мм;
  • лобарные и латеральные ВМГ объемом 50 см³ и более;
  • медиальные образования объемом от 20 см³;
  • гематомы мозжечка объемом ≥ 15 см³;
  • прогрессирующее ухудшение состояния пациента (исключая кому 2-3 ст.);
  • молодой возраст пациента;
  • выраженная внутричерепная гипертензия, если консервативная коррекция невозможна.

Для хирургического лечения используются следующие методы: транскраниальная операция с прямой ревизией под контролем микроскопа (стандартная и наиболее распространенная методика), стереотаксическая аспирация и эндоскопическое удаление гематомы.

  1. Транскраниальное удаление. Операция включает прямую краниотомию (чаще расширенную) в области очага. Затем выполняется энцефалотомия в месте ближайшего прилежания ВМГ к коре головного мозга. Удаление патологического образования осуществляется методом аспирации с промывкой полости физиологическим раствором. Сгущенные элементы извлекаются специальным пинцетом. Гемостаз достигается биполярной коагуляцией сосудов и применением антигеморрагических средств (губки, фибрин-тромбинового клея, ватников с перекисью водорода). Устанавливается дренаж. Хирургический сеанс длится около 3 часов под общей анестезией. Прямая краниотомия чаще применяется при лобарных и мозжечковых ВМГ.

  2. Стереотаксическая процедура. Стереотаксическая аспирация — малоинвазивная методика. Однако после такого лечения чаще возникают рецидивы гематом, чем после краниотомии, из-за невозможности тщательного гемостаза. Основной вид анестезии — нейролептанальгезия. Вмешательство проводится при гематомах медиального и смешанного типа. Голову пациента фиксируют в стереотаксической раме. После создания небольшого отверстия в черепе в полость гематомы вводится тонкая канюля (диаметр около 5 мм). Через канюлю, подключенную к электроаспиратору, эвакуируется патологическое содержимое. Интраоперационный контроль осуществляется с помощью навигационных систем и рентгенологического оборудования. Длительность сеанса — 1-3 часа.

  3. Эндоскопическая операция. Это минимально инвазивная методика, предполагающая извлечение крови из тканей мозга под контролем эндоскопа. Обычно используется интубационный наркоз. Доступ осуществляется с помощью трефина для создания небольшого трепанационного отверстия. В отверстие помещается жесткая эндоскопическая трубка с видеосистемой, передающей изображение на экран. Эндоскоп осторожно подводят к интересующей области, затем отсасывается гематома и промывается полость. Гемостаз выполняется эндоскопически с использованием монополярной коагуляции и расфокусированного лазерного облучения. Процедура длится 45-90 минут.

Стоимость прямой краниотомии в российских клиниках составляет от 60 тыс. рублей, стереотаксической операции — 40-60 тыс. рублей, эндоскопического удаления гематомы — от 50 до 62 тыс. рублей.

После операции назначается курс реабилитации, включающий профилактику возможных осложнений (инфекций, тромбоза, пневмонии и т. д.). В большинстве случаев после нейрохирургии рекомендуется профилактическая терапия для предотвращения эпиприступов.

В среднем восстановление взрослого пациента после удаления внутричерепной гематомы занимает около 6 месяцев. Функции могут восстановиться полностью, но гарантии нет, так как это зависит от исходного состояния пациента, возраста и характера гематомы. У детей реабилитация обычно проходит быстрее и чаще заканчивается полным восстановлением.

Где лечат лучше всего

Внутримозговые гематомы представляют собой серьезную проблему, связанную с высоким риском смертности и полной утратой трудоспособности. Пациенты с таким диагнозом должны находиться под наблюдением и лечением в медицинских учреждениях мирового уровня. В Чехии работают одни из лучших нейрохирургов Европы.

Центральный военный госпиталь в Праге.

Чешские клиники применяют передовые методы диагностики и современные технологии для безопасного лечения заболеваний центральной нервной системы. Также в Чехии предлагается качественная реабилитация пациентов после операций на головном мозге.

Чешская нейрохирургия отличается высоким качеством услуг и доступными ценами. Лечение внутримозговых гематом в Чехии стоит в 2-3 раза дешевле, чем в Израиле и Германии.

Литература:

  1. М.П. Киселева, З.С. Шпрах, Л.М. Борисова и др. Доклиническое изучение противоопухолевой активности производного N-гликозида индолокарбазола ЛХС-1208. Сообщение I // Российский биотерапевтический журнал. 2015. № 2. С. 71-77.
  2. Renouard, «Histoire de la medicine» (П., 1948).
  3. Скориченко, «Доисторическая M.» (СПб., 1996); его же, «Гигиена в доисторические времена» (СПб., 1996).
  4. https://ProBolezny.ru/gematoma-golovnogo-mozga/.
  5. https://msk-artusmed.ru/mozg/vnutrimozgovye-gematomy/.
  6. Скориченко, «Доисторическая M.» (СПб., 1996); его же, «Гигиена в доисторические времена» (СПб., 1996).
Ссылка на основную публикацию
Похожее