Вт-вс: 10:00—21:00
whatsapp telegram vkontakte email

Ушиб головного мозга

Ушиб головного мозга — это черепно-мозговая травма с ограниченными изменениями церебральных тканей. Симптомы включают потерю сознания, амнезию, рвоту, головокружение, анизокорию, различные очаговые симптомы, менингеальные признаки, а также изменения сердечного и дыхательного ритма. Основной метод диагностики — КТ головного мозга. Консервативное лечение включает коррекцию жизненно важных функций, нормализацию внутричерепного давления и нейропротекторную терапию. Хирургическое вмешательство проводится только по показаниям и может включать трепанацию черепа, декомпрессию и удаление очагов ушиба.

Общие сведения

Ушиб головного мозга (УГМ) составляет 25-30% всех черепно-мозговых травм (ЧМТ). В отличие от сотрясения, ушиб характеризуется морфологическими изменениями в церебральных тканях. Существует три степени тяжести ушиба: первая и сотрясение относятся к легким ЧМТ, вторая — к средней тяжести, третья — к тяжелым. Тяжесть ушиба оценивается по расстройствам сознания, состоянию пострадавшего, неврологическому дефициту и данным томографических исследований. В России ушиб головного мозга распределяется по степеням тяжести следующим образом: легкий — 33%, средней тяжести — 49%, тяжелый — 18%.

Ушиб головного мозга в 2-3 раза чаще встречается у мужчин. В 5-20% случаев у пострадавших выявляется алкогольное опьянение. Тяжелый ушиб мозга является одной из основных причин летальности и инвалидизации среди людей до 45 лет. Поэтому своевременная диагностика и поиск оптимальных методов лечения УГМ являются приоритетными задачами травматологии, нейрохирургии, неврологии и реабилитологии.

image

Причины ушиба головного мозга

Ушиб головного мозга (УГМ) может возникнуть в результате транспортной аварии, профессиональной, бытовой, криминальной или спортивной травмы. У детей дошкольного возраста УГМ чаще всего обусловлен падениями. Он также может произойти при внезапном падении во время эпилептического припадка или дроп-атаки. Ушиб мозга часто сопровождается переломом черепа, а в половине случаев — внутричерепным кровотечением, включая субарахноидальное кровоизлияние и образование субдуральной или внутримозговой гематомы.

Патофизиология УГМ включает первичное и вторичное повреждение. Первичное повреждение происходит непосредственно при травме и связано со смещением мозга в черепной коробке, а также смещением полушарий относительно ствола мозга и гидродинамическими факторами. Это приводит к структурным повреждениям нейронов и клеток глии, разрывам синаптических связей, сосудистым повреждениям и тромбозам. Очаги УГМ могут быть как единичными, так и множественными, локализуясь не только в зоне удара, но и в области противоудара. Вторичное повреждение возникает из-за деструктивных метаболических процессов, инициируемых первичным повреждением. В области ушиба развивается асептическое воспаление и отек, нарушаются кровообращение и метаболизм нейронов, что приводит к расширению зоны ушиба. Исходом первичного и вторичного повреждения является некроз нейронов, что вызывает неврологический дефицит.

Симптомы ушиба головного мозга

УГМ легкой степени сопровождается утратой сознания на несколько минут. Затем наблюдаются умеренная оглушенность, сонливость и неполная ориентация во времени и пространстве. Пострадавшие жалуются на постоянную головную боль, слабость, тошноту и головокружение. Часто возникает рвота, которая не приносит облегчения, и может быть многократной. Также отмечается амнезия: пациент не помнит события, предшествовавшие травме (ретроградная амнезия), и не может запомнить происходящее после травмы (антероградная амнезия). Возможны тахикардия или брадикардия, реже — артериальная гипертензия.

В неврологическом статусе могут наблюдаться анизокория, нистагм, асимметрия сухожильных рефлексов, невыраженные менингеальные симптомы и легкий гемипарез. При наличии субарахноидального кровоизлияния менингеальные симптомы выражены ярче. Все указанные проявления обычно регрессируют в течение 2-3 недель.

УГМ средней степени проявляется бессознательным состоянием от десятков минут до 4-5 часов. После восстановления сознания наблюдаются интенсивная головная боль, повторная рвота, а также кон-, антеро- и ретроградная амнезия. Амнезия, умеренное или глубокое оглушение и дезориентация могут сохраняться несколько суток. Возможны психические отклонения. Часто наблюдаются субфебрилитет, брадикардия или тахикардия, артериальная гипертензия и учащенное дыхание. В неврологическом статусе выявляются очаговые симптомы, зависящие от локализации ушиба. Обычно отмечаются гемипарезы, гемигипестезия, нарушения речи (моторная афазия), анизокория и глазодвигательные расстройства. Симптоматика постепенно исчезает через 4-6 недель после травмы.

УГМ тяжелой степени характеризуется длительным бессознательным состоянием (до нескольких недель) и моторным возбуждением. Тяжелый ушиб мозга сопровождается дисфункцией жизненно важных систем: артериальной гипотонией или гипертензией, тахи- или брадиаритмией, нарушением дыхательного ритма на фоне тахипноэ. В начальный период после травмы преобладает стволовая симптоматика: тонический нистагм, двусторонний птоз и мидриаз, децеребрационная ригидность, дисфагия, двусторонние патологические рефлексы и симметричная гипо- или гиперрефлексия. На этом фоне могут проявляться признаки поражения полушарий: гемипарез, гемигипестезия, оральный автоматизм и другие. Возможна гипертермия до 41°C и судорожные пароксизмы. Неврологическая симптоматика имеет длительное течение и не полностью регрессирует. Психические и неврологические изменения могут сохраняться как стойкие резидуальные последствия травмы.

Диагностика ушиба головного мозга

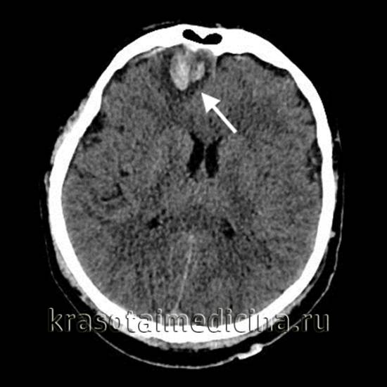
Основным методом диагностики ушибов головного мозга (УГМ) является компьютерная томография (КТ). Томографическая картина зависит от степени тяжести ушиба. При легкой степени очаги с пониженной плотностью выявляются в 40-50% случаев. В зоне ушиба на томограммах наблюдаются отечность и петехиальные кровоизлияния. Отек может охватывать всю долю мозга или даже целое полушарие, что приводит к умеренному сужению ликворных пространств.

На аксиальной КТ головного мозга без контрастного усиления определяется контузионный очаг в правой лобной доле, представленный геморрагическим компонентом, зоной детрита и отека.

Ушиб средней тяжести характеризуется наличием очагов ушиба в виде зон пониженной плотности. При геморрагическом пропитывании очаг может иметь повышенную плотность. При тяжелом ушибе томография показывает очаги как повышенной, так и пониженной плотности. Повышенная плотность указывает на сгустки крови, а пониженная — на участки размозжения и отека. При крайне тяжелых поражениях зона деструкции церебральной ткани проникает в подкорковые структуры.

КТ также проводят в динамике в ходе лечения. Наблюдения показывают, что при легком или среднем ушибе со временем очаговые изменения полностью исчезают. При тяжелом УГМ наблюдается уменьшение площади очагов деструкции, которые затем трансформируются в кисты головного мозга или участки атрофии. Чем тяжелее черепно-мозговая травма, тем медленнее происходят указанные изменения, визуализируемые при помощи КТ.

image

Лечение ушиба головного мозга

Ушиб головного мозга требует обязательной госпитализации пострадавшего. Лечение проводят неврологи, нейрохирурги и реабилитологи. Консервативная терапия включает нормализацию жизненно важных функций: коррекцию гемодинамики с постоянным мониторингом артериального давления, дыхательную поддержку и контроль внутричерепного давления (фуросемид, ацетазоламид, маннитол). Также назначают нейропротекторы (эритропоэтин, цитиколин, прогестерон, статины) и симптоматическую терапию (коррекция гипертермии, противосудорожные препараты, средства для купирования головной боли и противорвотные).

Хирургическое лечение требуется в 15-20% случаев. Оно показано при сдавлении головного мозга, дислокационном синдроме, наличии очага размозжения объемом более 30 см³, очага объемом 20-30 см³ с масс-эффектом и смещением срединных структур более 5 мм, а также при наличии мелких очагов с прогрессирующей неврологической симптоматикой.

Операция выполняется через трепанацию черепа. При наличии объемного очага размозжения его удаляют. Проводится костно-пластическая трепанация, при которой после удаления очага костный и кожно-апоневротический лоскуты возвращаются на место. Если внутричерепное давление высокое, операцию дополняют декомпрессионной трепанацией. При небольших очагах размозжения с выраженной отечностью мозговых тканей показана декомпрессионная трепанация без удаления очагов.

Прогноз при ушибе головного мозга

Последствиями ушиба головного мозга (УГМ) могут быть посттравматическая гидроцефалия, локальная церебральная атрофия, субдуральная гигрома, хроническая субдуральная гематома и посттравматическая церебральная киста. Также возможны посттравматический арахноидит и оболочечно-мозговые спайки, которые могут привести к эпилепсии или различным формам психопатии. В отдаленной перспективе УГМ может способствовать развитию болезни Паркинсона или болезни Альцгеймера.

Легкий УГМ обычно заканчивается благоприятно с полным восстановлением неврологических и психических функций. УГМ средней тяжести, при своевременном и адекватном лечении, также приводит к выздоровлению, но могут наблюдаться гидроцефалия, вегето-сосудистая дистония, астения и легкие нарушения координации движений. Тяжелый УГМ приводит к летальному исходу примерно в 30% случаев, а среди выживших высокий процент инвалидов. Основные причины инвалидизации — эпилепсия, психические расстройства, парезы, параличи и нарушения речи.

Ушиб головы причины, симптомы, методы лечения и профилактики

Дата публикации: 21.03.2019
Дата проверки статьи: 02.12.2019

Главное отличие ушиба головы от других черепно-мозговых травм — целостность кожных покровов. Ушибы делятся на ушибы мягких тканей и ушиб головного мозга. Вероятность возникновения того или иного вида зависит от силы удара: чем больше сила, тем тяжелее травма. Ушиб головного мозга часто сопровождается кровоизлиянием в ткань, что негативно сказывается на состоянии организма. Также возможен перелом костей черепа.

Клиническая картина делится на три вида:

  • Общемозговой — реакция головного мозга на повреждение.
  • Локальный — зависит от области поражения, наиболее опасны травмы, затрагивающие продолговатый мозг.
  • Менингеальный — характеризуется раздражением оболочек мозга.

Общемозговая симптоматика возникает при любом ушибе:

  • Тошнота, возможна рвота.
  • Болезненные ощущения в области головы.
  • Головокружение.
  • Ухудшение концентрации внимания.
  • Ослабление памяти.

Менингеальная симптоматика указывает на ушиб головного мозга и включает интенсивные боли, напряжение мышц в области затылка и спины, рвоту без облегчения.

Локальная симптоматика помогает определить область удара. При повреждении затылочной части нарушается работа зрительного аппарата, что связано с расположением нервных путей от глаз. Пациенты могут жаловаться на слепоту и двоение в глазах.

Симптомы ушиба головного мозга

Ушиб классифицируется по степеням в зависимости от тяжести поражения.

Лёгкий ушиб характеризуется следующими симптомами:

  • обморок не более 10 минут;
  • быстрое восстановление без медицинского вмешательства;
  • непроизвольные движения глаз;
  • сниженная чувствительность на противоположной стороне тела;
  • постепенное исчезновение симптомов и отсутствие осложнений. Клиническая картина полностью исчезает в течение 3 недель.

Ушиб средней тяжести сопровождается:

  • обмороком длительностью до 4 часов;
  • приглушённым сознанием на протяжении суток;
  • выраженными общемозговыми симптомами;
  • менингеальным синдромом;
  • нарушением работы речевого аппарата;
  • потерей контроля над движениями конечностей;
  • учащённым дыханием.

Тяжёлый ушиб представляет смертельную угрозу и включает следующие симптомы:

  • приглушённое сознание на протяжении нескольких дней;
  • нарушения сердечно-сосудистой системы;
  • дисфункцию органов дыхания;
  • утрату воспоминаний о событиях перед ушибом;
  • нарушения зрения;
  • постоянное чувство тревоги;
  • психическую возбудимость.

Симптомы ушиба мягких тканей головы

Травмирование мягких тканей без повреждения головного мозга обычно не представляет серьёзной угрозы. Это распространённая травма, основной симптом которой — припухлость на голове после удара. При прощупывании возникает болезненность. Ушиб мягких тканей тяжёлой степени может сопровождаться покраснением кожи, помутнением сознания, носовым кровотечением, рвотой, постоянной усталостью и повышенной местной температурой.

Факторы, провоцирующие ушиб мягких тканей и головного мозга, схожи:

  • травма во время занятий спортом;
  • эпилептический приступ;
  • повреждение головы в драке;
  • несоблюдение техники безопасности;
  • падение с высоты на голову;
  • бытовая травма;
  • дорожно-транспортное происшествие;
  • детская травма.

Диагностика

Обследование при ушибе головы включает следующие процедуры:

  • Рентгенографию используют для исключения разрушения костной ткани и выявления локальных повреждений.
  • Спинномозговая пункция позволяет определить концентрацию эритроцитов.
  • Компьютерная томография помогает оценить область поражения и наличие отёков.

Для определения тяжести состояния пациента используют шкалу Глазго.

Лечение

Тактика лечения ушибов зависит от их степени тяжести и разновидности. При повреждении только мягких тканей применяется медикаментозное лечение. Для терапии ушиба головного мозга может потребоваться операция. Показания для хирургического вмешательства включают:

  • размер гематомы более 40 миллиметров;
  • смещение структур мозга более чем на 5 миллиметров;
  • низкая эффективность медикаментов при внутричерепной гипертензии.

Медикаментозное лечение включает мочегонные средства для уменьшения отёка, кислородную терапию, противосудорожные препараты и поддержание нормального артериального давления. Антигипоксанты помогают снизить ишемические изменения и ускорить восстановление нервных тканей.

Специфических мер для предотвращения ушибов не существует. Врачи рекомендуют избегать алкоголя и курения, соблюдать технику безопасности при занятиях спортом и на производстве, а при высоком риске ушиба головы использовать защитный шлем.

Последствия зависят от своевременности лечения и тяжести ушиба. Лёгкие ушибы обычно проходят без осложнений. При средней и тяжёлой степени возможны следующие последствия:

  • апаллический синдром — пациент в сознании, но не реагирует на внешний мир, кроме болезненных ощущений;
  • паралич мышц;
  • доброкачественные новообразования головного мозга;
  • гнойные очаги;
  • хроническая внутричерепная гипертензия;
  • постоянные мигрени;
  • воспаление оболочек головного мозга;
  • смертельный исход;
  • инвалидность;
  • вторичный эпилептический синдром.

Отзывы пациентов

Точность диагностики и качественное обслуживание — наши главные приоритеты. Мы ценим отзывы наших пациентов.

Чем грозят травмы головного мозга и какая помощь может быть оказана пострадавшему?

Травмировать головной мозг может любой сильный удар в область головы, даже если череп остается целым. Мозг защищен мягкими оболочками и «плавает» в цереброспинальной жидкости, но при ударах он может смещаться и ударяться о внутреннюю поверхность черепа. При переломе черепа мозг может быть поврежден осколками костей.

Врач-терапевт при первом знакомстве и составлении истории болезни обязательно спросит о наличии черепно-мозговых травм в анамнезе пациента. Повреждения головного мозга могут долгое время влиять на эмоциональное и психическое состояние человека, а также на работу внутренних органов и жизненно важных систем.

Виды травм головного мозга и их признаки

По данным НИИ им. Н.В. Склифосовского, в России основными причинами травм головного мозга являются падения с высоты (чаще всего в нетрезвом состоянии) и травмы, полученные в результате криминальных действий. Эти два фактора составляют около 65% случаев. Примерно 20% травм связаны с дорожно-транспортными происшествиями и падениями. В отличие от мировой статистики, где ДТП составляют половину случаев травм головного мозга, в России ситуация иная. В целом в мире ежегодно травмы головного мозга получают 200 человек на 10 000, и эти цифры имеют тенденцию к росту.

Сотрясение головного мозга возникает после незначительного травмирующего воздействия и представляет собой обратимые изменения в мозге. Оно встречается почти у 70% пострадавших с черепно-мозговыми травмами. Характерно кратковременное (от 1 до 15 минут) потеря сознания. После восстановления сознания больной может не помнить обстоятельства происшествия и испытывать головную боль, тошноту, реже рвоту, головокружение и слабость. Эти симптомы обычно проходят через 5-8 дней. Хотя сотрясение считается легкой травмой, около половины пострадавших испытывают остаточные явления, которые могут снизить трудоспособность. Обязателен осмотр у нейрохирурга или невролога, которые могут назначить КТ или МРТ, электроэнцефалографию. Обычно госпитализация не требуется, достаточно амбулаторного лечения под наблюдением невролога.

Сдавление головного мозга происходит из-за гематом в черепной полости, что уменьшает внутричерепное пространство. Это опасно, так как может привести к ущемлению ствола головного мозга и нарушению жизненно важных функций, таких как дыхание и кровообращение. Гематомы, вызывающие сдавление, требуют срочного удаления.

Ушиб головного мозга — это повреждение вещества мозга вследствие удара, часто с кровоизлиянием. Ушибы могут быть легкой, средней и тяжелой степени. При легких ушибах неврологические симптомы сохраняются 2-3 недели и проходят самостоятельно. Средняя степень характеризуется нарушениями психической деятельности и временными расстройствами жизненно важных функций. При тяжелых ушибах больной может находиться без сознания несколько недель. Степень ушиба и состояние пациента диагностируются с помощью компьютерной томографии. Лечение включает нейропротекторы, антиоксиданты, сосудистые и седативные препараты, витамины группы В и антибиотики. Рекомендуется постельный режим.

Аксональные повреждения возникают при ударе по голове и представляют собой множественные разрывы аксонов с микроскопическими кровоизлияниями в мозг. Этот тип травмы может привести к прекращению корковой деятельности и коме, которая может длиться годами. Лечение направлено на поддержание жизненных функций и предотвращение инфекций.

Внутричерепное кровоизлияние может возникнуть из-за удара по голове, который разрушает стенку кровеносного сосуда, что приводит к локальному кровоизлиянию в черепной полости. Это вызывает резкое повышение внутричерепного давления и повреждение мозговых тканей. Симптомы включают сильную головную боль, угнетение сознания, судороги и рвоту. Тактика лечения зависит от индивидуальной ситуации и может включать как медикаментозные, так и хирургические методы для удаления и рассасывания гематомы.

Последствия травм головы

Последствия травмы головного мозга могут проявляться в процессе лечения, в реабилитационный период (до полугода) и в отдаленные сроки (до двух лет и дольше). Основные проблемы включают психические и вегетативные дисфункции, которые могут осложнить жизнь пациента: изменения чувствительности, речи, зрения, слуха, подвижности, расстройства памяти и сна, спутанность сознания. Возможны посттравматические эпилепсия, болезнь Паркинсона и атрофия мозга. Тяжесть травмы напрямую влияет на количество негативных последствий. Успех лечения зависит не только от медицинской помощи, но и от реабилитационного процесса, который позволяет пациенту постепенно возвращаться к обычной жизни и своевременно выявлять начало посттравматических заболеваний для их лечения.

Известны случаи, когда травмы головного мозга приводили к появлению у пострадавших новых талантов, таких как способности к изучению иностранных языков, точных наук, изобразительному искусству или музыке. Это явление называется приобретенным синдромом саванта. Часто новые способности основаны на старых воспоминаниях: например, пациент мог учить китайский язык в школе, забыть его, но после травмы вновь заговорить и продолжить обучение с успехом.

Первая помощь при травмах головы

Каждый может оказаться рядом с человеком, получившим травму головы. Зная правила первой помощи, можно облегчить его состояние и даже спасти жизнь.

  • Признаки серьезной черепно-мозговой травмы: истечение крови или светлой жидкости (ликвора) из носа или уха, синяки вокруг глаз. Симптомы могут проявиться не сразу, поэтому при сильном ударе по голове необходимо сразу вызывать скорую помощь.
  • Если пострадавший потерял сознание, проверьте дыхание и пульс. При их отсутствии нужно сделать искусственное дыхание и массаж сердца. Если пульс и дыхание есть, укладывайте человека на бок до приезда скорой, чтобы избежать удушья от рвоты или запавшего языка. Поднимать или сажать его нельзя.
  • При закрытой травме приложите к месту удара лед или холодное мокрое полотенце, чтобы уменьшить отек и боль. Если есть кровоточащая рана, обработайте кожу вокруг нее йодом или зеленкой, закройте рану марлевой салфеткой и аккуратно перевяжите голову.
  • Запрещается трогать или удалять обломки костей, металла или другие инородные тела из раны, чтобы не усилить кровотечение и не занести инфекцию. В этом случае вокруг раны уложите марлевый валик, затем сделайте перевязку.
  • Транспортировать пострадавшего в больницу можно только в лежачем положении.

В больнице пациента осмотрят, определят степень тяжести состояния и назначат диагностические процедуры. При открытых ранах с обломками костей или инородными телами потребуется срочная операция.

Восстановительная терапия

Реабилитационный период необходим для восстановления утраченных из-за травмы функций и подготовки пациента к дальнейшей жизни. Международные стандарты предлагают следующие меры реабилитации после травмы головного мозга:

  • Нейропсихологическая коррекция для восстановления памяти, внимания и контроля над эмоциями.
  • Медикаментозная терапия для улучшения кровообращения в головном мозге.
  • Логопедические занятия.
  • Психотерапия для снятия депрессивных состояний.
  • Акватерапия, стабилометрия, PNF-терапия для компенсации двигательных нарушений.
  • Физиотерапия (магнитотерапия, транскраниальная терапия) для стимуляции мозговой активности.
  • Диетическое питание для обеспечения клеток мозга необходимыми аминокислотами.
  • Обеспечение физического комфорта и внимательный сестринский уход.
  • Семейное консультирование для создания атмосферы взаимопонимания в семье.

Оптимальный срок начала реабилитации — 3-4 недели с момента травмы. Наибольших успехов в восстановлении можно достичь в течение 1,5-2 лет после выписки из стационара; далее прогресс замедляется.

Литература:

  1. Киржанова Е. А., Хуторянский В. В., Балабушевич Н. Г., Харенко А. В., Демина Н. Б. Методы анализа мукоадгезии: от фундаментальных исследований к практическому применению в разработке лекарственных форм. Разработка и регистрация лекарственных средств. 2014; 3(8): 66–80. DOI: 10.33380/2305-2066-2019-8-4-27-31.
  2. Харенко Е. А., Ларионова Н. И., Демина Н. Б. Мукоадгезивные лекарственные формы. Химико-фармацевтический журнал. 2009; 43(4): 21–29. DOI: 10.30906/0023-1134-2009-43-4-21-29.
  3. Haeser, «Handbuch der Gesch. d. Medicin».
  4. https://www.KrasotaiMedicina.ru/diseases/zabolevanija_neurology/brain-contusion.
  5. https://cmrt.ru/zabolevaniya/travmy/ushib-golovy/.
  6. https://www.pravda.ru/navigator/travma-golovnogo-mozga.html.
  7. Puccinotti, «Storia della medicina» (Ливорно, 1954—1959).
Ссылка на основную публикацию
Похожее